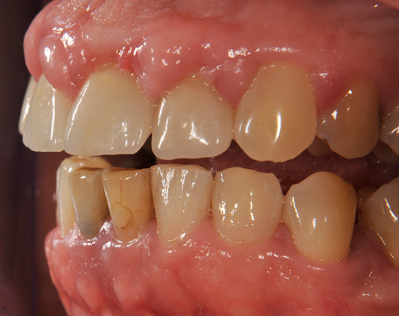
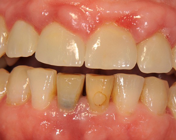
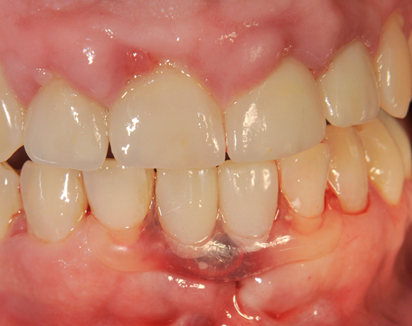
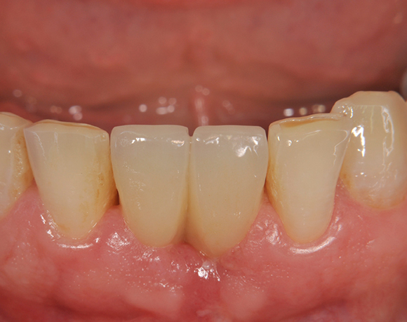
Zwei Unterkieferfrontzahn – implantate
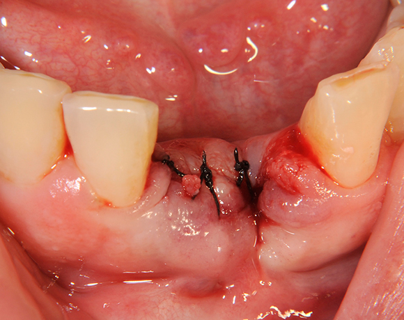
Die Keramikimplantate der Fa. Dentalpoint lassen sich auch zur Sofortimplantation verwenden. Das bedeutet, dass nach Extraktion nicht beherdeter Zähne direkt die Implantate gesetzt werden können.

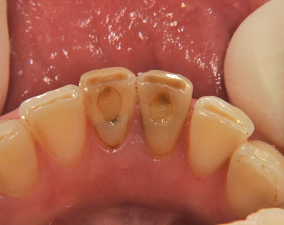
Im vorliegenden Patientenfall wurden die beiden nicht erhaltungswürdigen, mittleren Unterkieferschneidezähne durch zwei Vollkeramikimlpantate ersetzt.

















