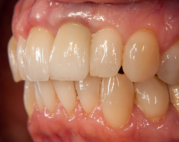
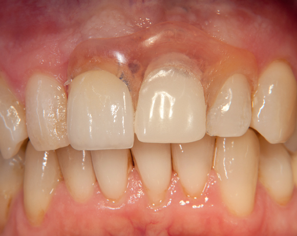
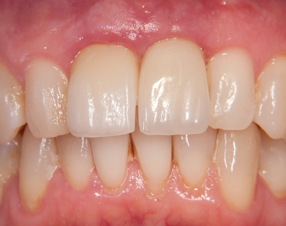
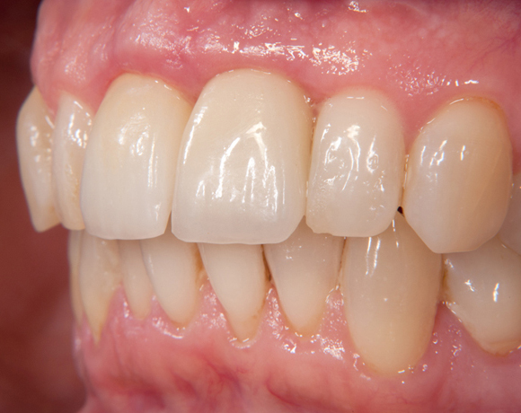
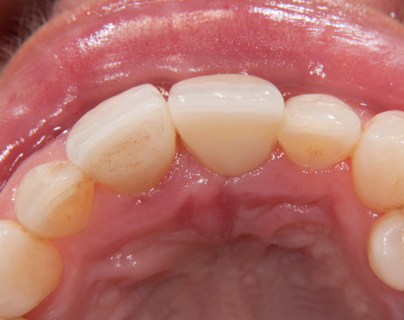
Vollkeramisches Implantat auf Zahn 21
Manche Zähne lassen sich trotz Wurzelbehandlung und Wurzelspitzenresektion nicht erhalten. Solche Zähne lassen sich gut mit vollkeramischen Implantaten ersetzen.
Ein Projekt aus dem Jahr 2013

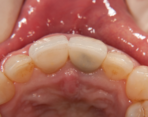
Der Zahn 21 musste extrahiert werden, da nach Wurzelspitzenresektion die Wurzel fast vollständig resorbierte.














