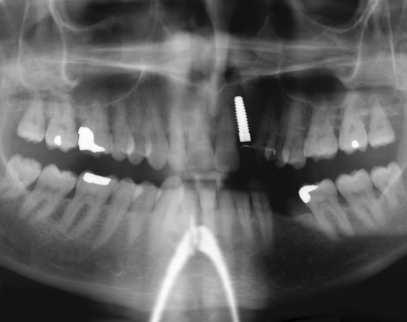
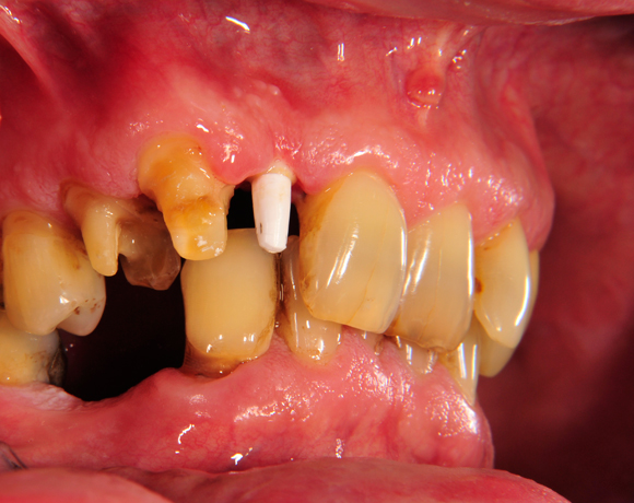
Zeramex Implantat auf Zahn12
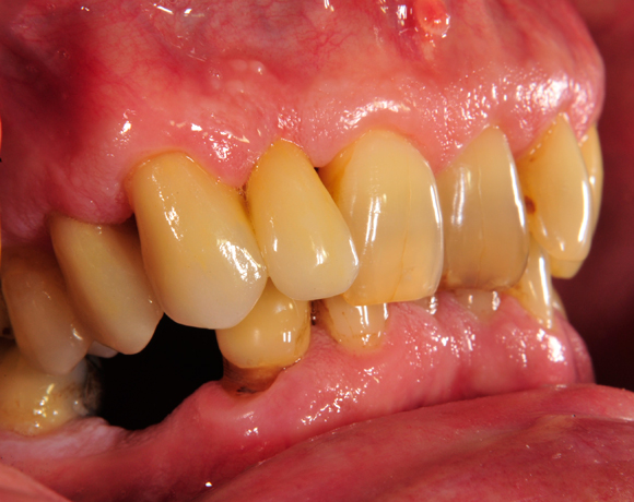
Vollkeramische Implantatkronen aus e.max lassen sich jederzeit mit vollkeramischen Kronen auf natürlichen Zähnen kombinieren ohne, dass ein Unterschied zu natürlichen Zähnen erkennbar ist.
Ein Projekt aus dem Jahr 2011

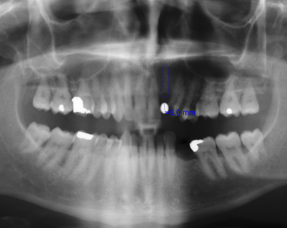
Bei diesem Patienten wurde der nichterhaltungswürdige Zahn 12 mit einem Zerameximplantat versorgt. Nach der Einheilphase wurden auch die Zähne 14 und 13 mit e.max Kronen versorgt






