Zwei UK Molaren auf Implantate
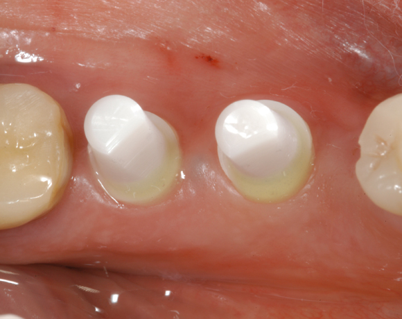
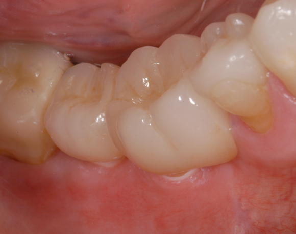
Vollkeramische Implantate eignen sich auch zum Ersatz von Unterkiefermolaren.
Ein Projekt aus dem Jahr 2011

Bei diesem Patienten wurden die extrahierten Zähne 46 und 47 mit Implantaten ersetzt.
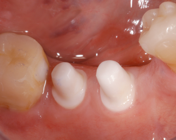
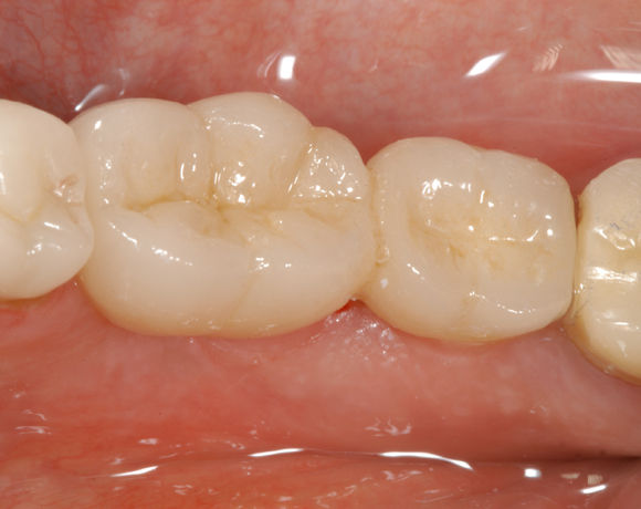
Vollkeramische Implantate eignen sich auch zum Ersatz von Unterkiefermolaren.
Ein Projekt aus dem Jahr 2011

Bei diesem Patienten wurden die extrahierten Zähne 46 und 47 mit Implantaten ersetzt.