Offene Abdruckname und CAD/CAM Pfosten
Offene Abdrucknahme bedeutet, dass beim Abformen ein Abdrucklöffel benutzt wird, bei dem über dem Implantat vorab ein loch gebohrt wird, durch das die Schraube des Abdruckpfostens herausragt und nach Aushärten des Abdruckmaterials abgezogen werden kann.
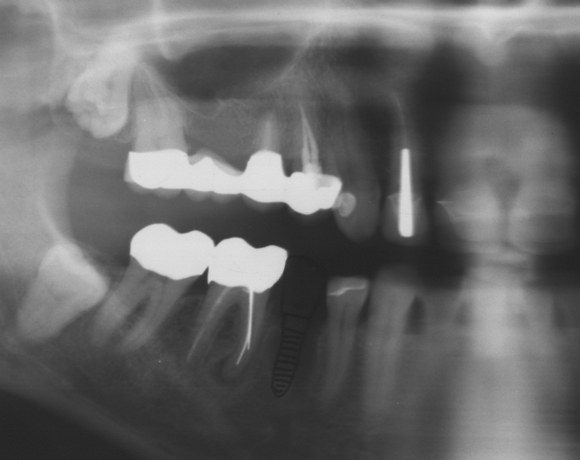
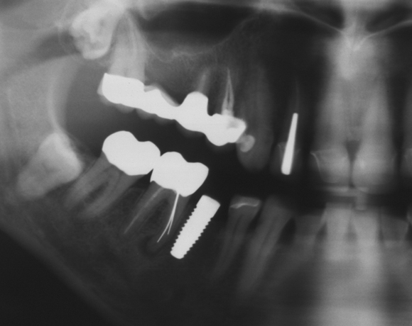
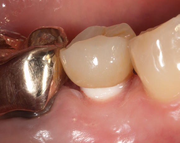
Ein Projekt aus dem Jahr 2013

Bei diesem Patientenfall wird die offene Abdrucknahme gezeigt und die Herstellung einer Krone auf einen CAD/CAM Pfosten.























