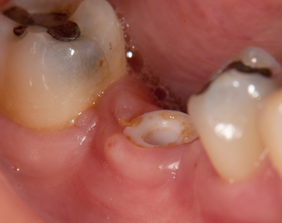
Das Zeramex T Lock Implantat
Seit Mai 2012 steht das Zeramex T Lock Implantat zur Verfügung. Die Neuerung besteht in einem Verschlusssystem mit dem das Abutment mit dem Implantat mit einer Art Bajonettverschluss verankert wird.
Ein Projekt aus dem Jahr 2012

Durch das Zeramex T Lock kann beim Verkleben das Abutment sich nicht mehr aus dem Implantat herausschieben.









