Zwei Implantate im Unterkiefer zwei im Oberkiefer
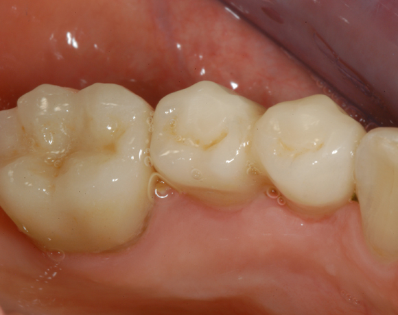
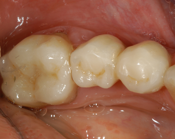
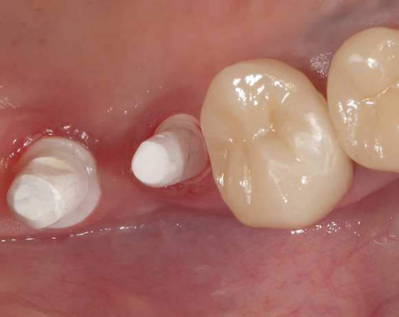
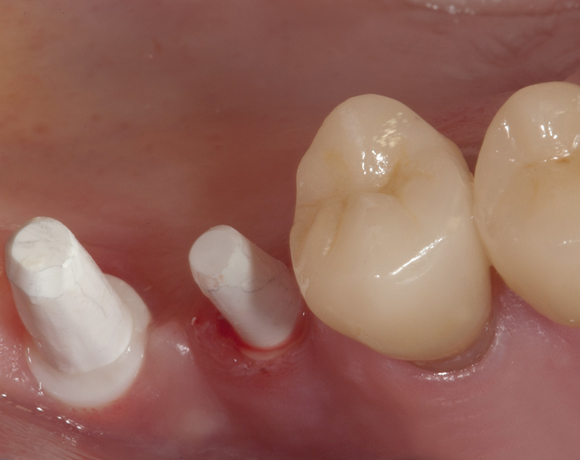
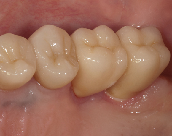
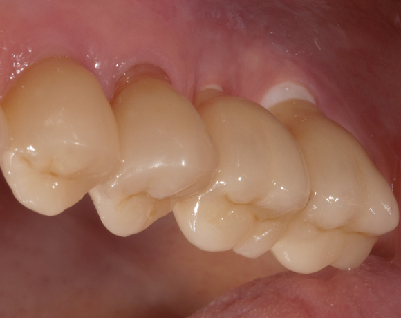
Zwei Nachbarimplantate werden meistens verblockt, um mehr Stabilität zu erzeugen.
Ein Projekt aus dem Jahr 2011

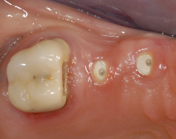
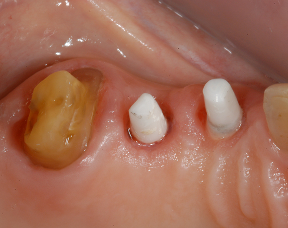
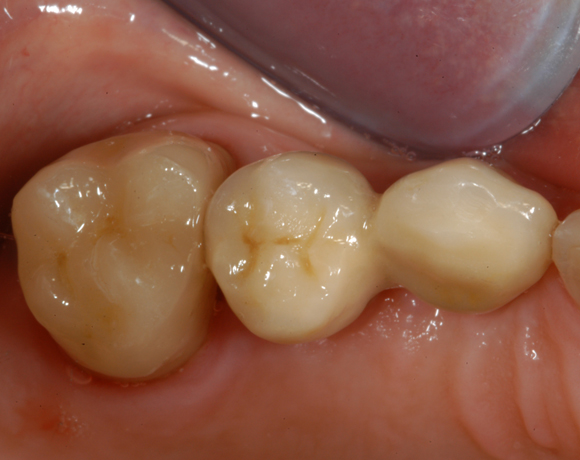
In diesem Patientenfall wurden im Oberkiefer auf beiden Seiten zwei Implantate eingesetzt, ebenso im Unterkiefer links zwei.










