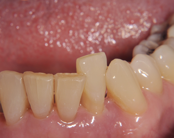
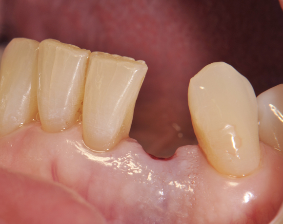
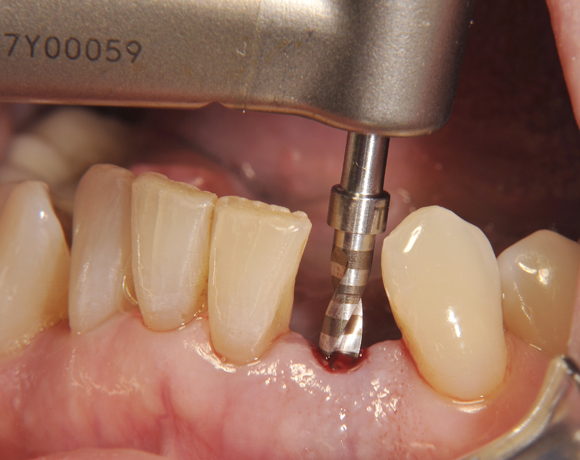
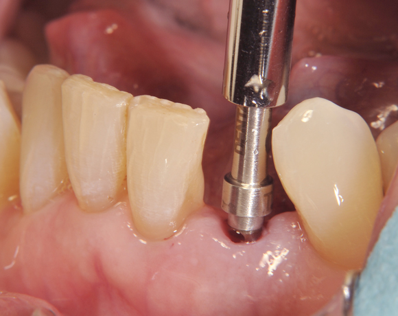
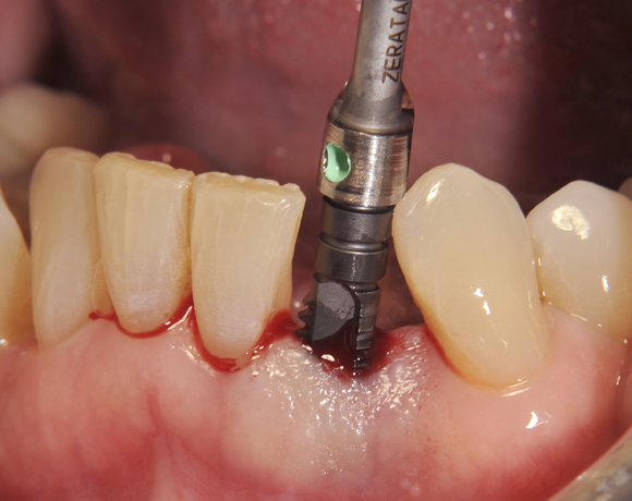
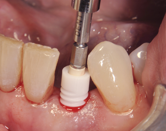
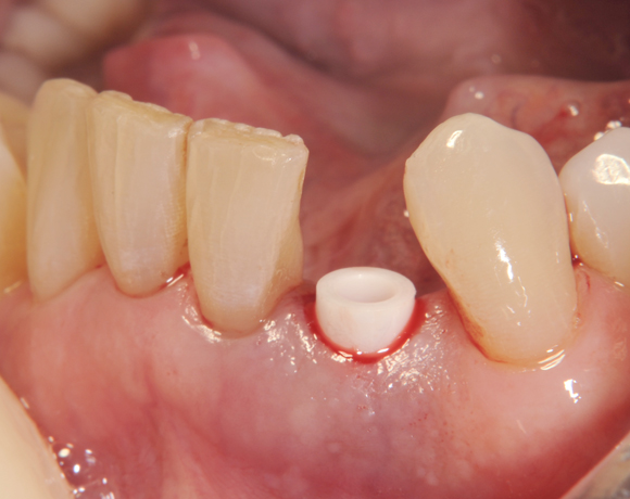
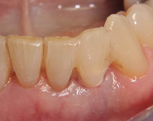
Das Setzen von einem Frontzahnimplantat im Unterkiefer
Auch im Unterkiefer lassen sich einzelne Zähne durch Implantate ersetzen
Ein Projekt aus dem Jahr 2011

Am Beispiel dieses Patientenfalls wird gezeigt wie ein Einzelimplantat für den Unterkieferfrontzahn 33 eingesetzt wird.













