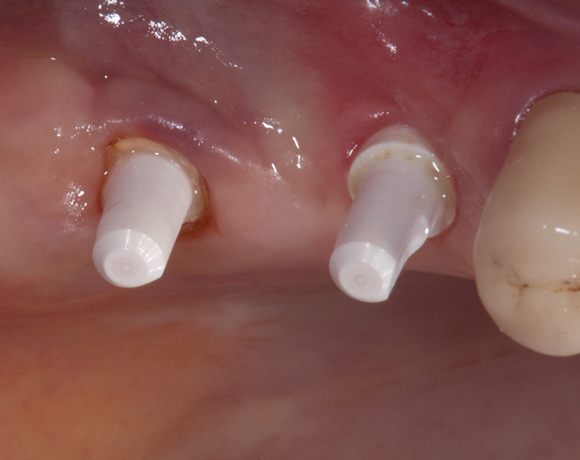
Zeramex Plus Implantat Regio 16, 17
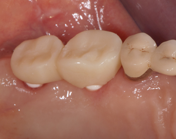
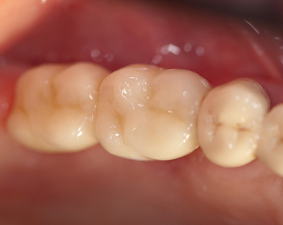
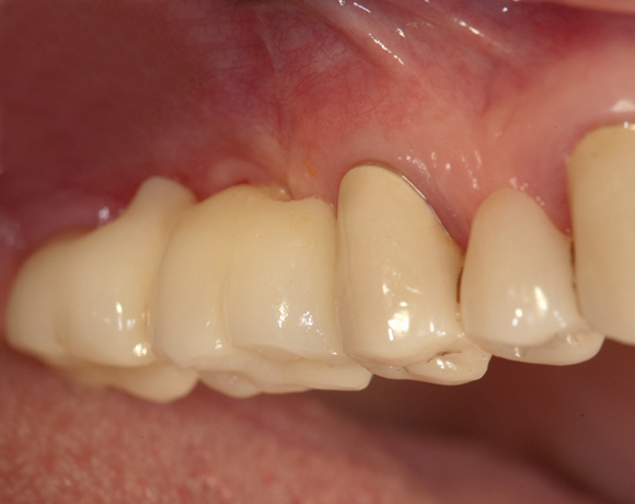
Freiendsituationen lassen sich ohne Implantate nur durch eine Prothese versorgen. Die neuen Zeramex Plus Implantate eignen sich gut, um solche Situationen zu versorgen. Im Seitenzahnbereich entstehen zwischen den Implantaten meistens große Lücken, da die natürlichen Zähne auf zwei bis drei Wurzeln im Knochen verankert sind und ein Implantat nur einer Wurzel entspricht. Durch eine geschickte anatomische Gestaltung lassen sich die Kronen schön ausformen. Durch Führungslücken wird dem Patienten eine ausreichende Reinigung mit Interdentalbürstchen erleichtert.
Ein Projekt aus dem Jahr 2013

In diesem Patientenfall gab es eine Freiendlücke im Bereich der Zähne 16 und 17. Hier wird die
prothetische Versorgung der beiden Zeramex Plus Implantate gezeigt. Die Kronen wurden so
gestaltet, dass durch Führungslücken die spätere Reinigung der Implantansätze mit
Interdentalbürstchen erleichtert und geführt wird.


















