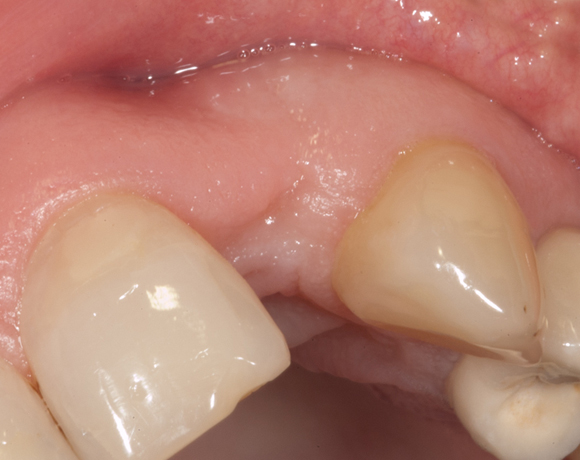
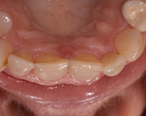
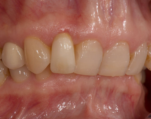
Zeramex T Implantat für Zahn 22
Einzelimplantate in der Front stellen oft ein Problem dar. Zirkonimplantate im Gegensatz zu Titanimplantate machen ästhetisch weniger Probleme, durch die weisse Farbe passen sie sich besser an das Zahnfleisch an.
Ein Projekt aus dem Jahr 2013

Im vorliegenden Patientenfall musste der Zahn 22 nach erfolgloser Endodontie entfernt werden. Die Nachbarzähne waren kariesfrei, es wurde eine Marylandbrücke (eine Brücke mit zwei Flügelchen, die palatinal an den Nachbarzähnen verklebt werden) oder ein Implantat besprochen. Die Patientin hat sich für ein Vollkeramikimplantat entschieden. In der Diashow wird der operative Eingriff bis zur fertigen Krone gezeigt. Die Einheilzeit betrug drei Monate.
















