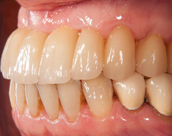
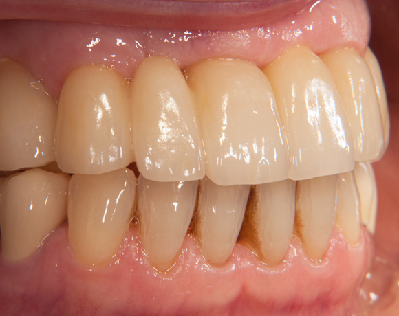
Oberkiefersanierung mit 5 Zeramex Plus

Durch Implantate lassen sich große Lücken schließen und Freiendsituationen lösen. Festsitzende Einzelzähne und Brücken bieten mehr Kaukomfort und ein natürliches Aussehen.

Ein Projekt aus dem Jahr 2013

Alle Projekt mit der Firma Dentalpoint →

00

 

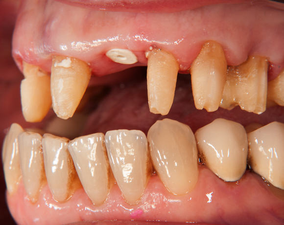
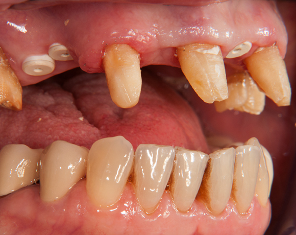
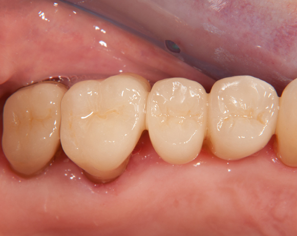
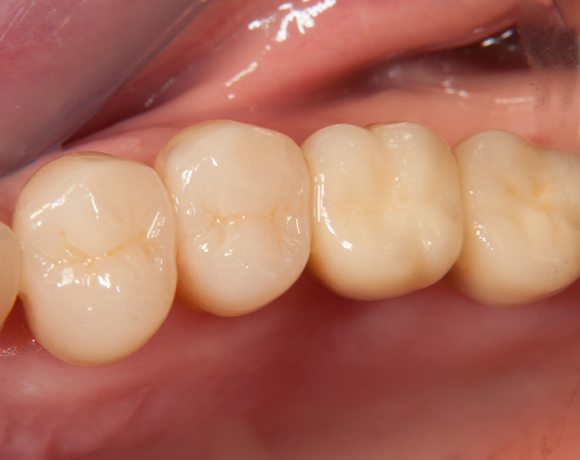
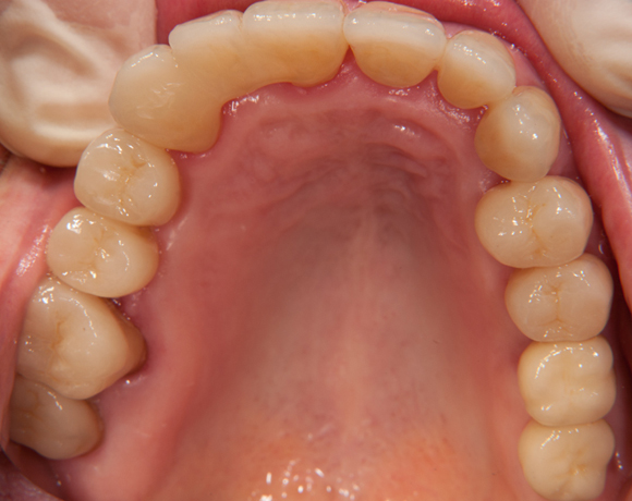
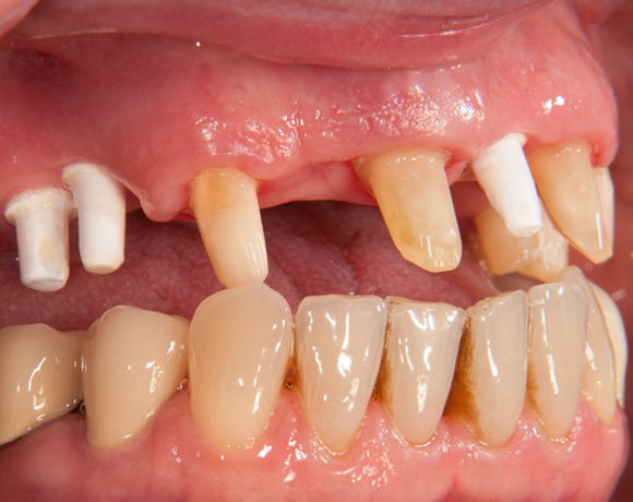
Im vorliegenden Patientenfall wurde eine Teleskopprothese mit acht Teleskopen, ersetzt durch eine Einzelzahnversorgung auf acht eigenen Zähnen und fünf Implantaten und einer kleinen Brücke.