Zeramex® P Implantat mit verschraubtem Abutment
ZERAFIX bietet die Verschraubung auf Zirkon. Das Innengewinde ermöglicht die verschraubte Befestigung von Prothetikteilen auf ZERAMEX®(P)lus Implantaten. Die Rotationssicherung auf der Plattform ermöglicht die sichere und exakte Positionierung der Sekundärteile, während das ZERAFIXTM Gewinde für deren festen Sitz sorgt.
Offene und geschlossene Abdruckpfosten können von Hand oder mit Hilfe des Abutmenthaltersets eingebracht werden.
Ein Projekt aus dem Jahr 2014

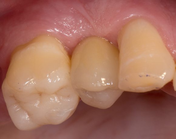
Im vorliegenden Patientenfall wurde Zahn 15 durch ein ZERAMEX®(P)lus Implantat ersetzt. Die Bilder zeigen die Herstellung und Eingliederung einer verschraubten Supraversorgung. Nach indirekter geschlossener Abformung, entsteht auf dem Meistermodell die Krone. Das konfektionierte Abutment wird auf das Laboranalog aufgeschraubt und individualisiert. Nun gibt es zwei Möglichkeiten eine Krone herzustellen, entweder aus Presskeramik oder über ein CAD/CAM System. In dem vorliegenden Fall wurde über eine Wachsmodellation eine gepresste Krone gefertigt. Die fertige Krone verklebt man mit dem Abutment (Kleber: Multilink Hybridabutment, Fa. Ivoclarvivadent, Lichtenstein). Nun verschraubt man die Krone nach richtiger Positionierung mit dem Implantat. Abschließend wird der Schraubenkanal mit Teflonband und Kunststoff verschlossen.
™






















