Verschraubte Brücke auf Zeramex P® Implantaten
ZERAFIXTM dient zur Verschraubung auf Zirkon. Das Innengewinde ermöglicht die verschraubte Befestigung von Prothetikteilen auf ZERAMEX®(P)lus Implantaten. Die Rotationssicherung auf der Plattform ermöglicht die sichere und exakte Positionierung der Sekundärteile, während das ZERAFIXTM Gewinde für deren festen Sitz sorgt.
Offene und geschlossene Abdruckpfosten können von Hand oder mithilfe des Abutmenthaltersets eingebracht werden.
Ein Projekt aus dem Jahr 2014
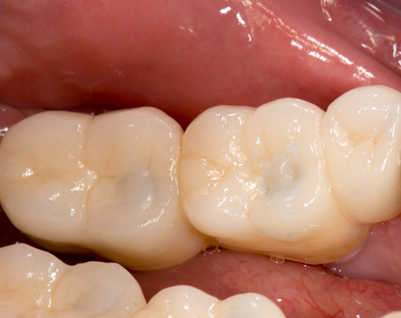
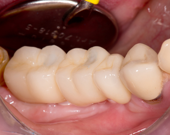
Im vorliegenden Patientenfall war eine ausreichende Knochenhöhe, aber keine notwendige Knochenbreite zur Implantation vorhanden, daher wurde eine Knochenverbreiterung durch Knochenspaltung mit gleichzeitiger Implantatinsertion und Auffüllen mit Kunstknochen vorgenommen. Nach sechs Monaten waren die Implantate gut eingeheilt. Nun soll eine Brückenversorgung auf die Implantate erfolgen. Die Brücke ist mit einem Extentionsbrückenglied nach mesial und zwei Molarenkronen auf den Implantaten 46 und 47 vorgesehen. Die verwendeten Zeramex P® Implantate erlauben eine Verschraubung. So ist es möglich eine verblendete Zirkonbrücke auf Zeradrill Abutments zu verkleben und danach die ganze Konstruktion zu verschrauben. Auf den Bildern ist das prophetische Vorgehen gezeigt.






















