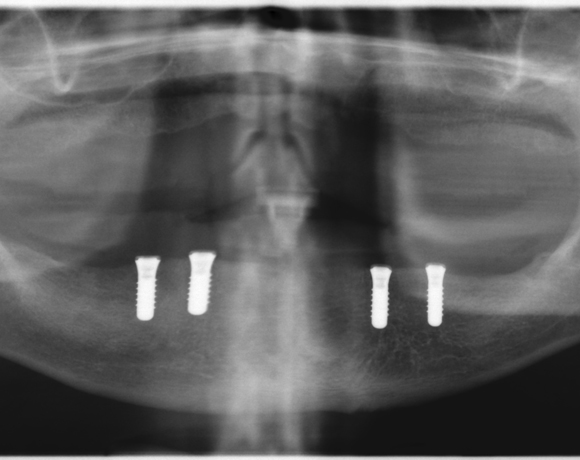
Fixierung einer Unterkiefervollprothese mit vier Implantaten
Mit Implantaten und dem Locatorsystem lassen sich Prothesen gut fixieren und geben einen guten Halt zum Essen und Sprechen
Ein Projekt aus dem Jahr 2014

61 jähriger Patient, im Ober- und Unterkiefer mit Vollprothesen versorgt. Der Patient litt darunter, dass seine Unterkieferprothese keinen richtigen Halt hatte. So wurde ihm vorgeschlagen mit vier Implantaten und dem Locatorsystem die Prothese am Unterkiefer zu fixieren und damit einen hohen Komfort beim Essen und Sprechen zu ermöglichen. Der Patient entschied sich für eine metallfreie Versorgung. Es wurden Zeramex® P Implantate von Dentalpoint AG verwendet, für die Matrizen das System der Fa. Valoc das Novalocsystem gewählt. Die Verstärkung der Prothese wurde metallfrei mit einem PEEK – Gerüst gewährleistet.






































