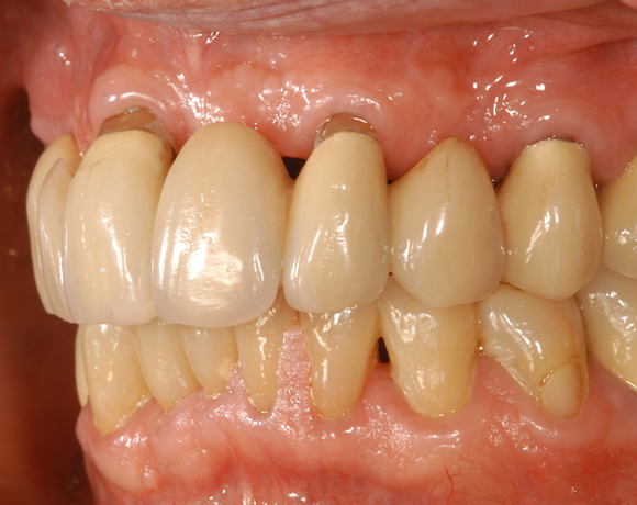
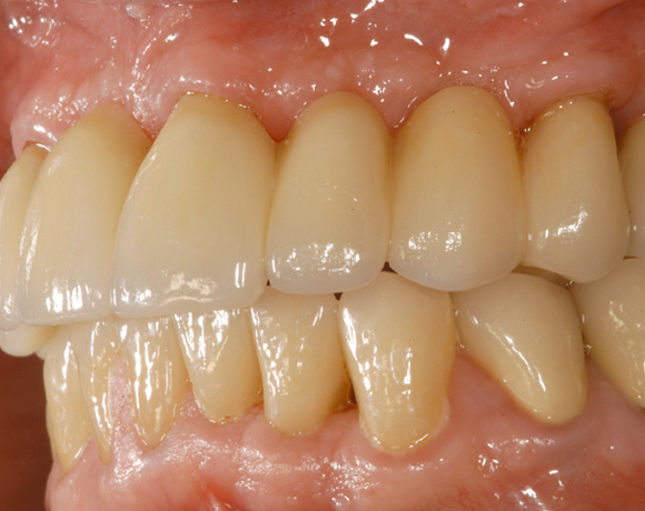
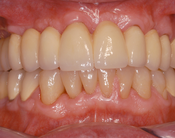
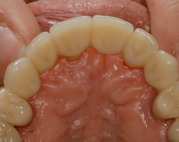
e.max Zirpress Frontzahnbrücke
Mit e.max Zirpress gab es nun die Möglichkeit über Zirkongerüste zu pressen, darauf zu schichten und damit eine sehr hohe Ästhetik zu erzielen. Die Stabilität für große Brücken wurde durch das Zirkongerüst gegeben.
Ein Projekt aus dem Jahr 2005

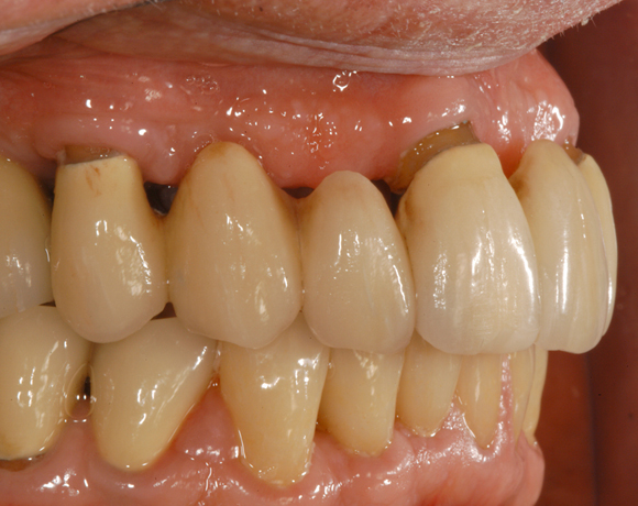
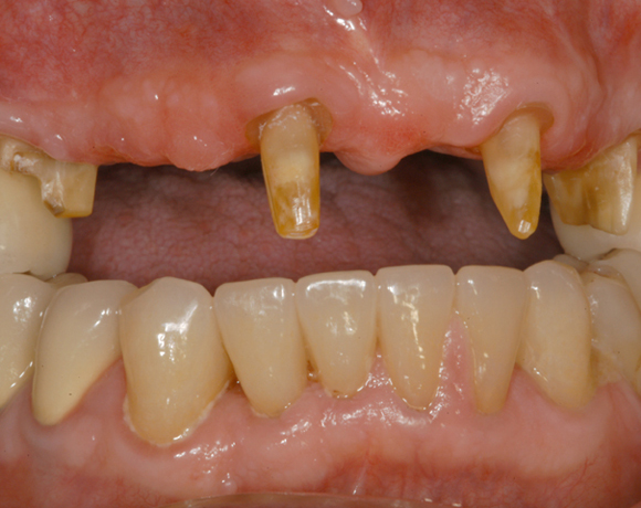
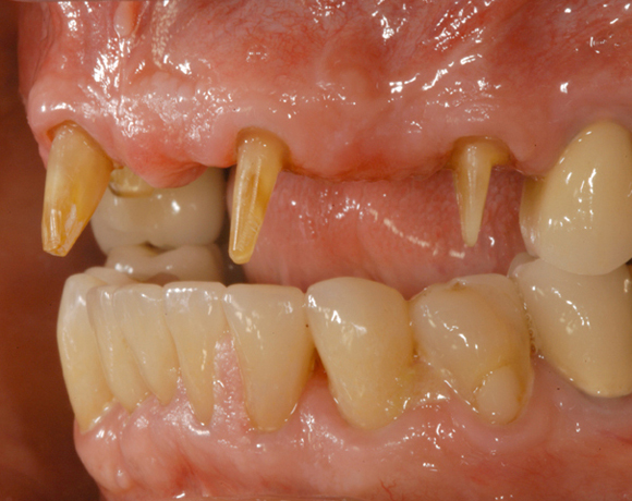
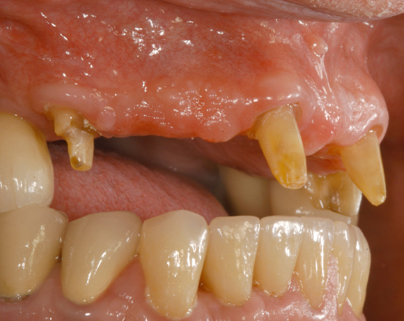
Bei diesem Patienten soll die metallkeramische Brücke von Zahn 14 – 24 erneuert werden. Für diese große Brücke sind nur vier intakte Pfeilerzähne vorhanden. Die Unterkieferfront ist bereits mit Empress Veneers versorgt.





















