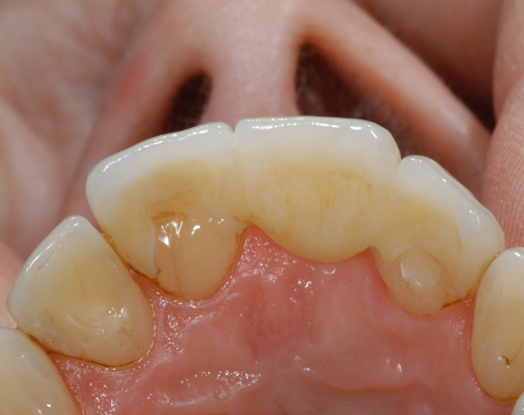
e.max Press Teilkronen Frontzahnbrücke
Mit e.max Press besteht nun auch die Möglichkeit Teilkronenfrontzahnbrücken zu machen.
Ein Projekt aus dem Jahr 2005

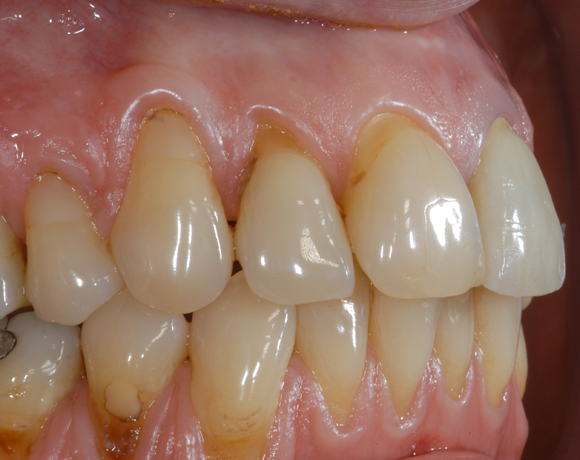
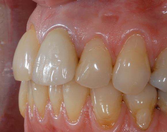
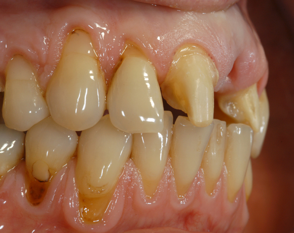
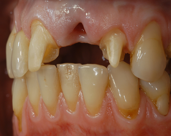
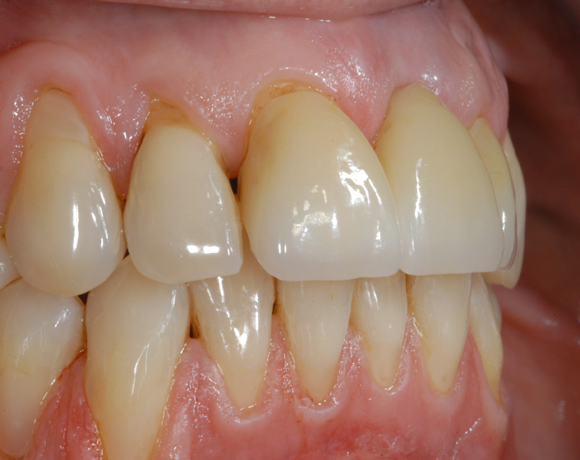
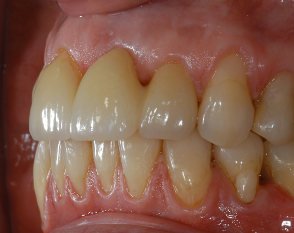
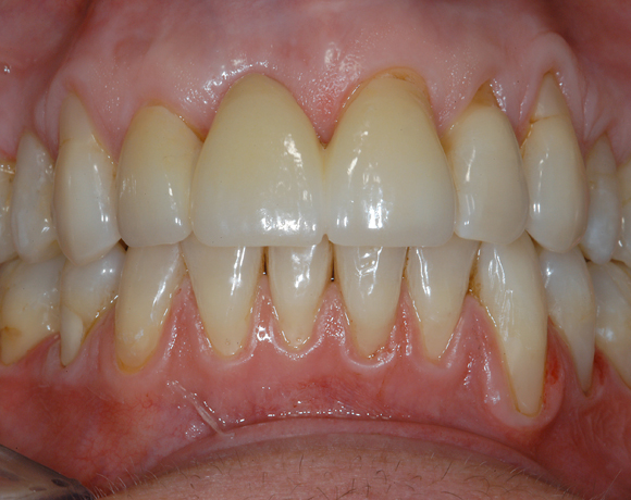
Im vorliegenden Patientenfall musste der Zahn 21 auf Grund erfolgloser Endodontie entfernt werden. Die Patientin wollte keine Interimsprothese und kein Implantat, so wurden die Nachbarzähne zur Substanzschonung für Dreiviertelkronen beschliffen. Die Extraktion erfolgte nach der Präpartion und die Zähne wurden mit einem Kunststoffprovisorium für zwei Wochen versorgt, bis die endgültige Brücke eingegliedert wurde. Gleichzeitig wurden wurden auch die Seitenzähne mit vollkeramischen Teilkronen versorgt.


























