e.max Zirpress Seitenzahnbrücke
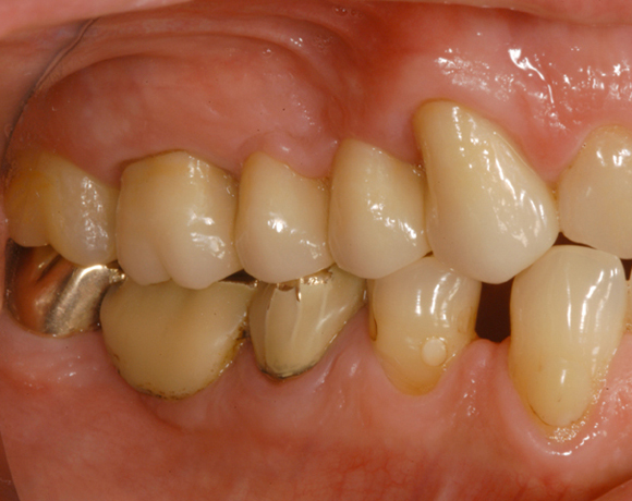
Ähnlich wie metallkeramische Brücken können nun vollkeramische Brücken hergestellt werden, allerdings metallfrei und in höchster Ästhetik.
Ein Projekt aus dem Jahr 2005

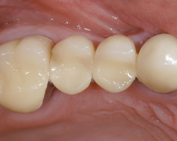
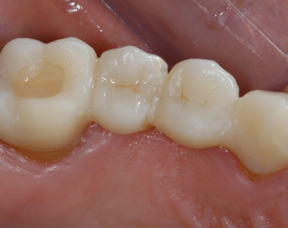
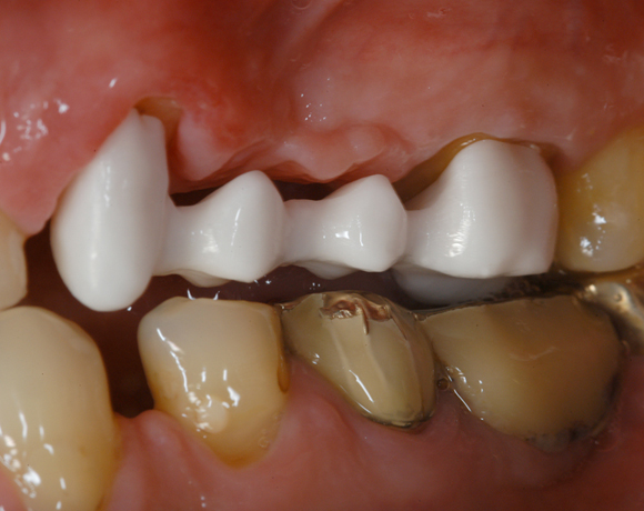
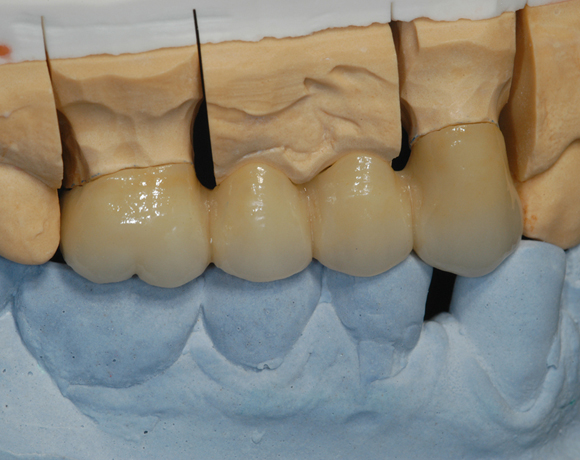
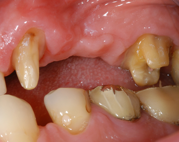
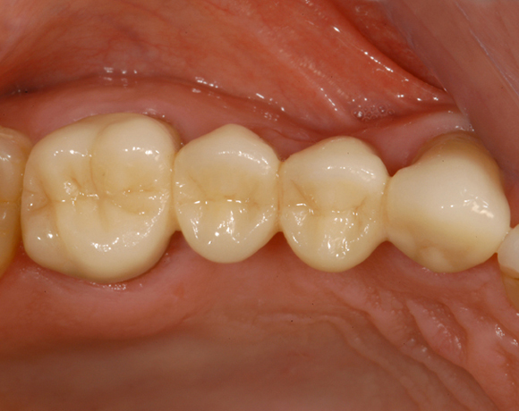
Im vorliegenden Patientenfall wurde bereits die alte VMK – Brücke mit einer Empress II Brücke ersetzt. Das Empress II Material war aber von seiner Festigkeit nicht stabil genug, um die Brückenglieder dauerhaft zu tragen. Die Brücke war bereits nach 18 Monaten gebrochen. Mit der Unterstützung durch ein Zirkongerüst ist nun die Festigkeit hoch genug, um auf lange Dauer zu funktionieren. Auf den Bildern ist auch die Fertigung im Labor zu sehen.


















