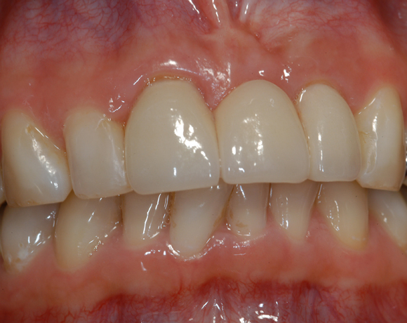
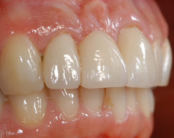
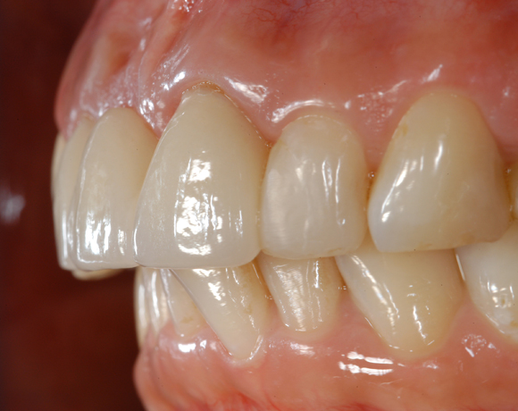
e.max Press, Frontzahnbrücke
Mit dem e.max System kam eine Lithiumdisilikat Keramik auf den Markt mit der es schier unbegrenzte Möglichkeiten gab. Durch das System wurde die Möglichkeit geschaffen im Frontzahnbereich bis Zahn fünf
Brücken zu pressen, mit der Möglichkeit Zirkongerüste zu überpressen ganze Kiefer zu überbrücken, auch mit mehreren Brückengliedern und mit der Schichtkeramik e.max Ceram auch direkt auf Zirkongerüsten zu schichten. Natürlich mit der bekannten Ästhetik.
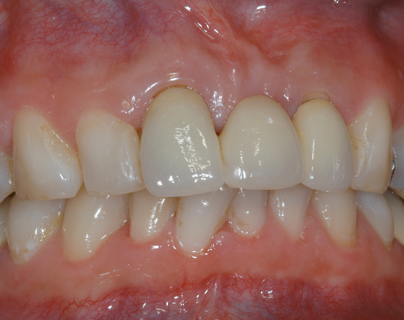
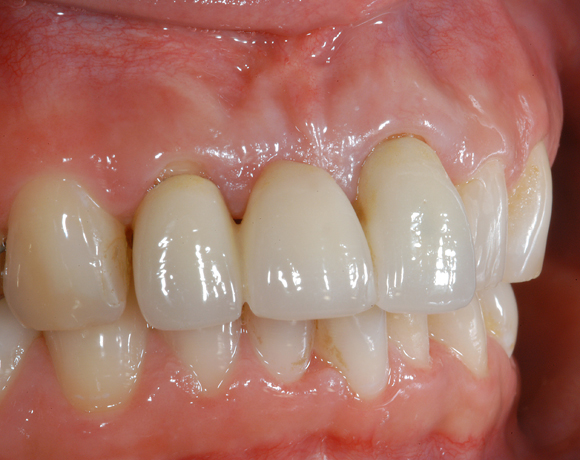
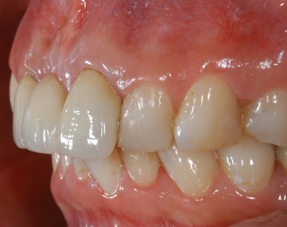
Ein Projekt aus dem Jahr 2005

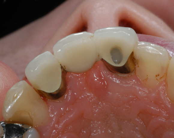
Im vorliegenden Patientenfall war die 10 Jahre alte VMK – Brücke locker. Die beiden Frontzahnpfeiler waren mit Radix Anker versorgt, die sich gelockert hatten. Die metallischen Schrauben wurden durch FR Postec Stifte ersetzt. Für die neue Brücke wurdet eine E-max Press Brücke hergestellt, für die Schichtung wurde das Cutbackverfahren gewählt.


























