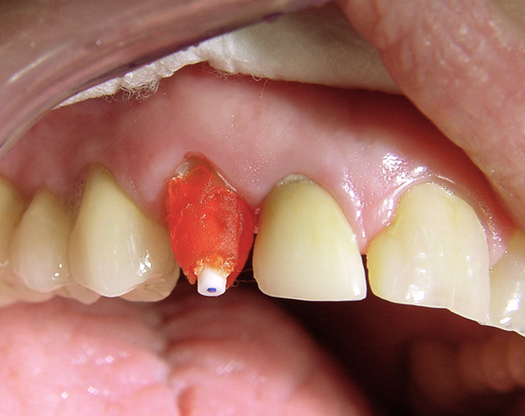
Cerapost
Der Cerapoststift ist ein metallfreier Stift aus Zirkon. Zirkonstifte sind mittlerweile nicht mehr im Gebrauch, da das Material für einen Stift zu hart ist und daher Wurzellängsfrakturen auftraten.
Ein Projekt aus dem Jahr 2000

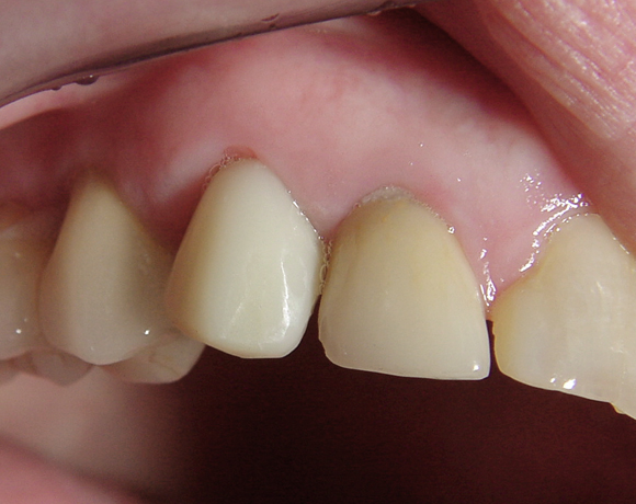
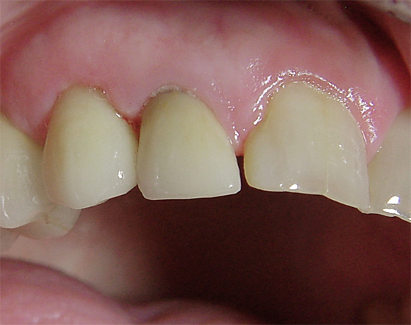
Anhand eines Patientenfalls wird das Vorgehen gezeigt, einen Cerapost Stift zu setzen.

















