Dentinpost
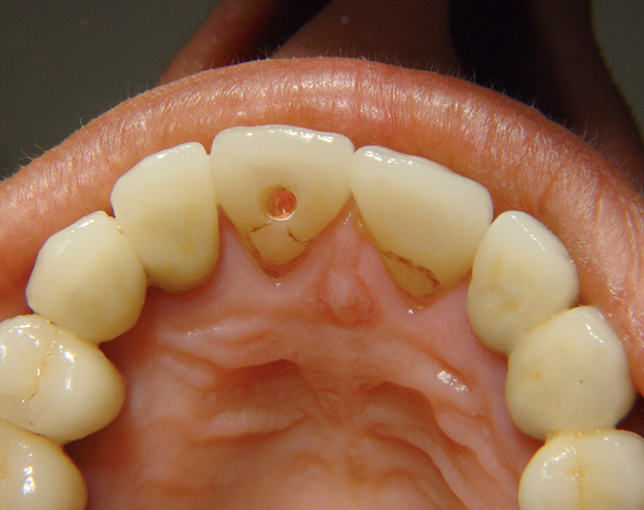
Der Dentinpost Stift ist die Antwort auf den zu harten Cerapost Stift, er ist aus Glasfaser und damit der Härte des Wurzeldentins angepasst.
Ein Projekt aus dem Jahr 2002

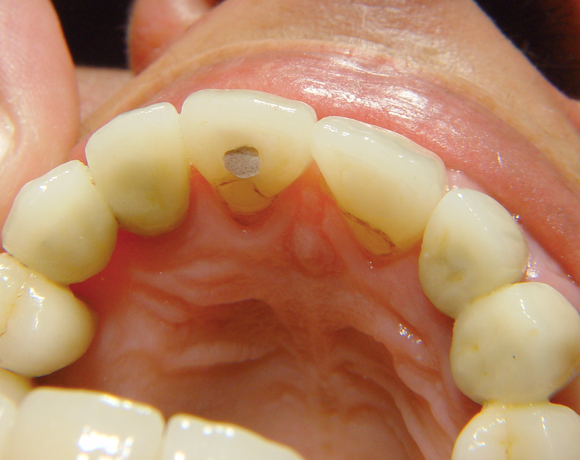
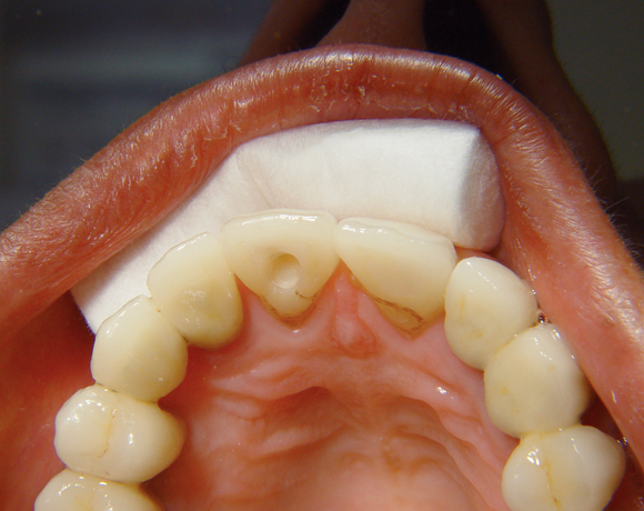
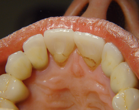
Bei diesem Patientenfall musste nach Neuüberkronung der Frontzähne eine Wurzelbehandlung erfolgen. Um der Gefahr aus dem Weg zu gehen, dass die neue Krone abbricht, da sehr wenig eigene Zahnrestsubstanz nach der endodontischen Behandlung übriggeblieben war, wurde der Zahn nachträglich mit einem Dentinpost versorgt.










