6 Implantate und viele Kronen und Brücken
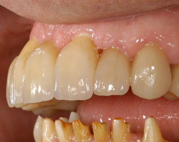
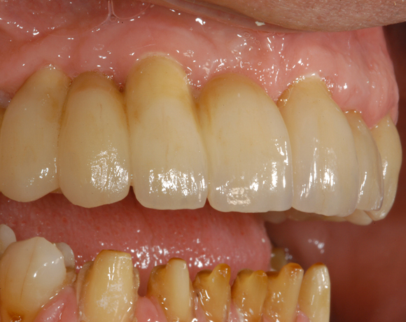
Mit dem zweiteiligen vollkeramischen Implantat lassen sich auch große Lücken überbrücken.
Ein Projekt aus dem Jahr 2011

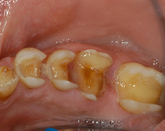
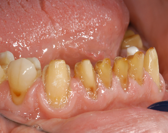
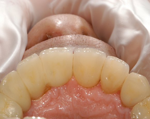
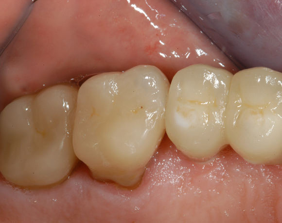
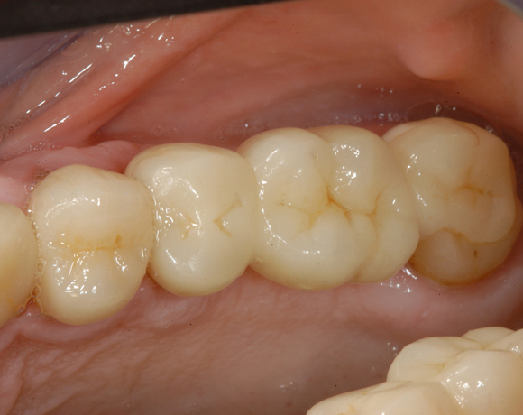
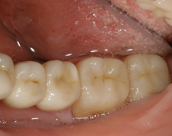
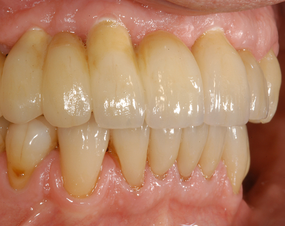
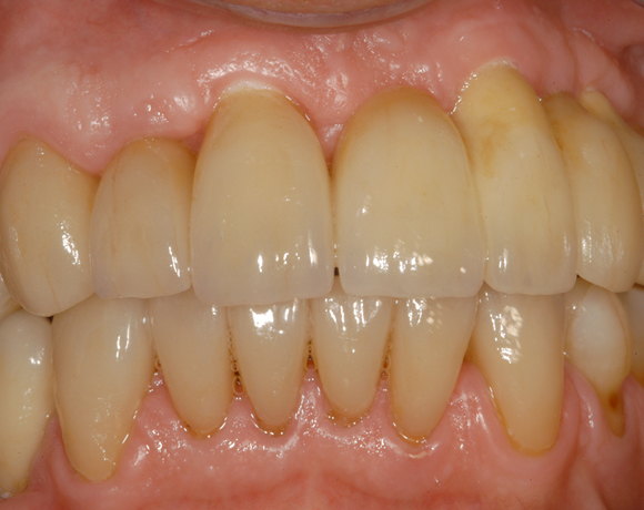
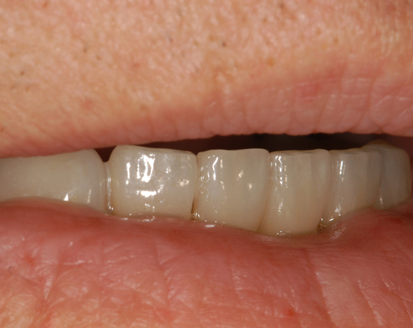
Im vorliegenden Patientenfall waren die Zähne 11 – 26 mit einer provisorischen Brücke versorgt, der Patient konnte damit aber nicht essen. Auch im Unterkiefer waren die vorhandenen Kronen und Brücken insuffizient. Es wurde eine komplette Neuversorgung für Ober- wie Unterkiefer geplant.





















