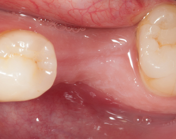
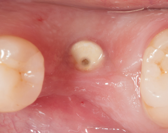
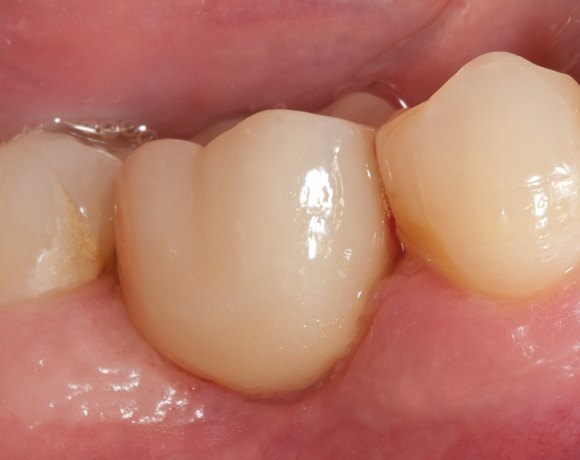
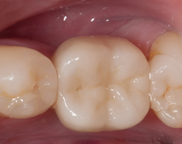
CAD/CAM Abutment und Geschlossene Abformung
Das CAD CAM Abutment bringt für den Behandler verschiedene Neuerungen im Vorgehen. Die Behandlungsabläufe werden aber wesentlich erleichtert und verkürzt.
Ein Projekt aus dem Jahr 2013

An diesem Patientenfall wird die Vorgehensweise am Patienten und im Labor gezeigt.
























