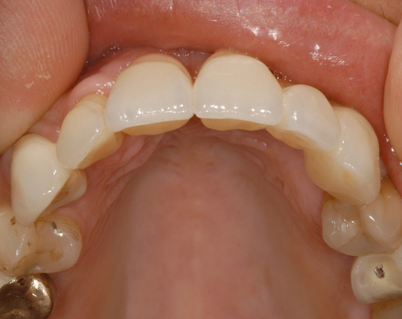
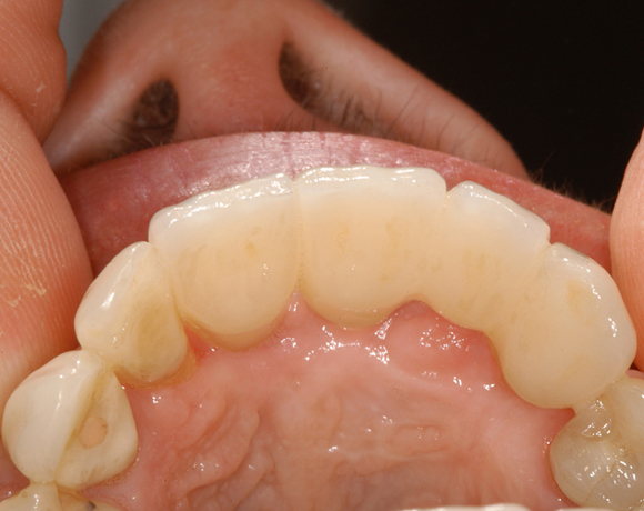
Drei Implantate in der Oberkieferfront
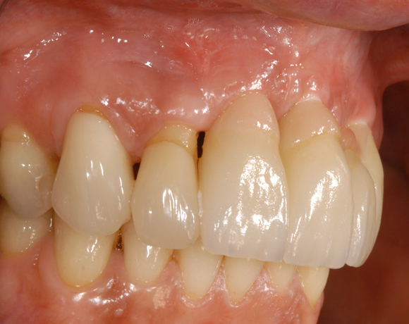
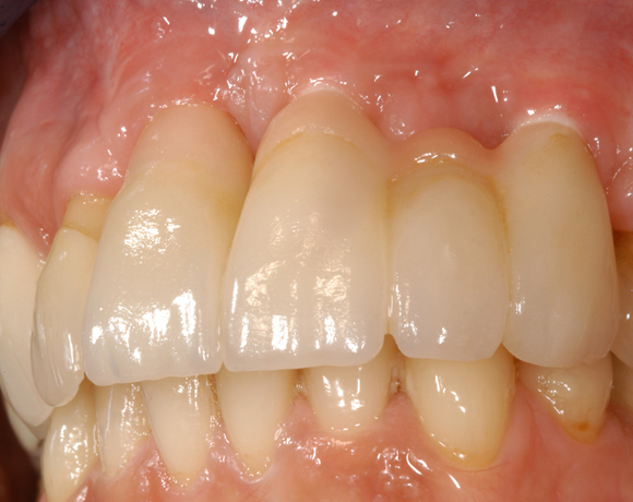
Das vollkeramische zweiteilige Implantat hat durch seine weiße Farbe im Frontzahnbereich keine ästhetischen Nachteile.
Ein Projekt aus dem Jahr 2011

Im vorliegenden Patientenfall mussten die 11 bis 22 aus parodontalen Gründen extrahiert werden. Die Zähne hatten Lockerungsgrad III, und es bestand ein starker horizontaler Knochenabbau. Das Ergebnis zeigt die Abschlusssituation nach Knochenaufbau und der Insertion von drei Vollkeramikimplantaten.







