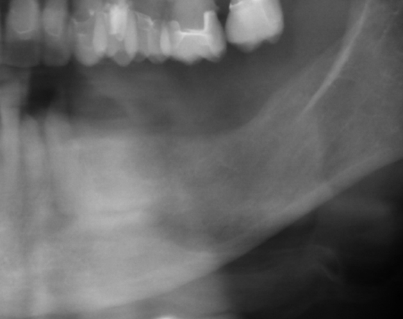
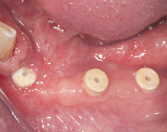
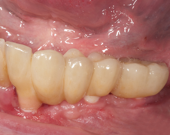
Knochenspaltung Unterkiefer 32 – 36
Die Knochenspaltung auch Bonesplitting genannt, ist eine geeignete Möglichkeit im Unterkieferseitenzahnbereich Knochen aufzubauen, um Implanate setzen zu können. Vorraussetzung ist eine ausreichende Knochenhöhe.
Ein Projekt aus dem Jahr 2012

Bei diesem Patientenfall war vor dreizehn Jahren bereits eine Knochenspaltung besprochen
worden, die Patientin hatte allerdings Angst vor dem Eingriff und sich für eine herausnehmbare
Lösung entschieden. Nachdem die endodontisch behandelten Zähne 32 und 33, die mit VMK – Kronen
und Geschiebe versorgt waren, abgebrochen sind, war die Patientin für den Eingriff mit Knochen-
spaltung und drei Implantaten offen. Heute ist sie sehr zufrieden und bereut es nicht gleich diese
Lösung gewählt zu haben.

















