Seitenzahnbrücke auf Implantaten
Mit dem zweiteilige vollkeramische Implantat lassen sich Freiendsituationen lösen, damit lässt sich eine Prothese vermeiden.
Ein Projekt aus dem Jahr 2011

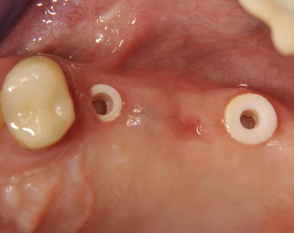
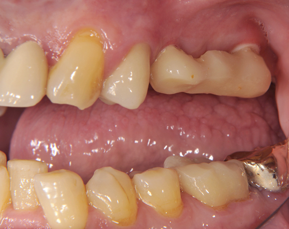
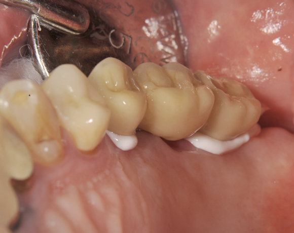
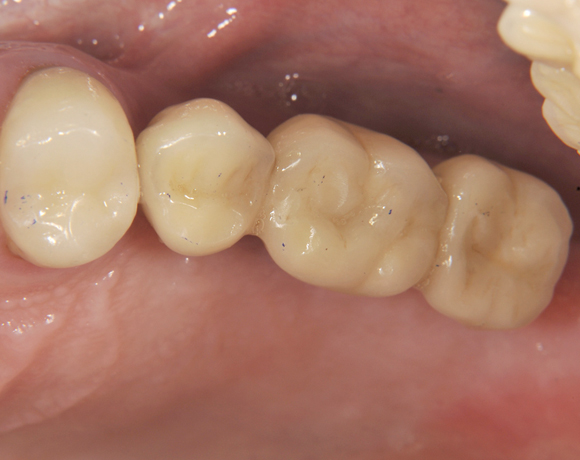
Im vorliegenden Patientenfall wurden für die Zähne 25 und 27 jeweils ein Implantat gesetzt. Nachdem die Implantate eingeheilt waren, wurde 25 – 27 mit einer Brücke versorgt.
⚠️ Keine Slideshow mit ID 58 gefunden.
Der operative Teil
Der prothetische Teil

















