Vollkeramisches Abutment
Lange Zeit war es nicht möglich Titanimplantate mit vollkeramischen Kronen oder Brücken zu versorgen, da der metallische Aufbau die positiven Aspekte der Transluzenz einer Vollkeramikkrone zerstörte.
In Zusammenarbeit mit Dr. Leistner und Prof. Stoll wurde Seit Anfang 2000 an einem vollkeramischen Aufbau gearbeitet, nach vielen Misserfolgen wurde dann ein Aufbau entwickelt der allen Qualitätskriterien entsprach.
Seit 2003 ist von der Firma Thommen Medical AG ein Zirkonaufbau verfügbar, der direkt auf alle Thommen Medical Implantate verschraubt werden kann .
Projekte aus den Jahren 2000 bis 2005

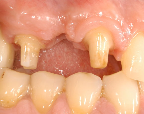
Vollkeramische Implantataufbauten müssen bei den meisten Implantatherstellern individuell hergestellt werden. Hier liegt ein konfektionierter Aufbau entweder in Form eines befräsbaren Zylinders oder in einer fertigen zahnstumpfförmigen Form vor.
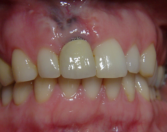
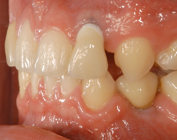
Der vorliegende Patientenfall war noch mit einem Prototypen eines vollkeramischen Aufbaus versorgt worden. Deutlich sichtbar der dunkle Rand an der VMK – Krone der metallkeramischen Versorgung. Die dunkle Verfärbung der Gingiva ist durch ein Amalgamtätoo bedingt.
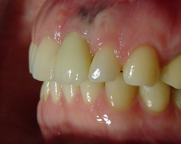
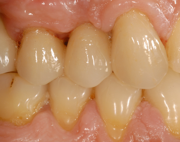
Bei diesem Patienten wurden die Nachbarzähne und das Implantat vollkeramisch versorgt.
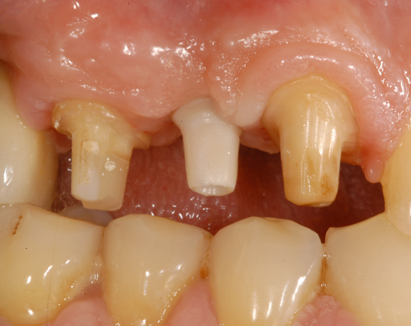
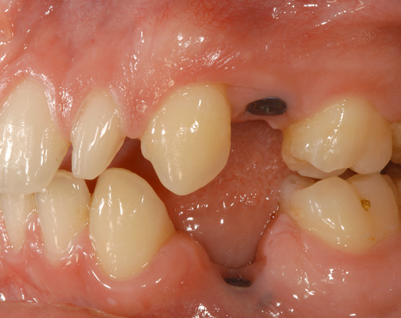
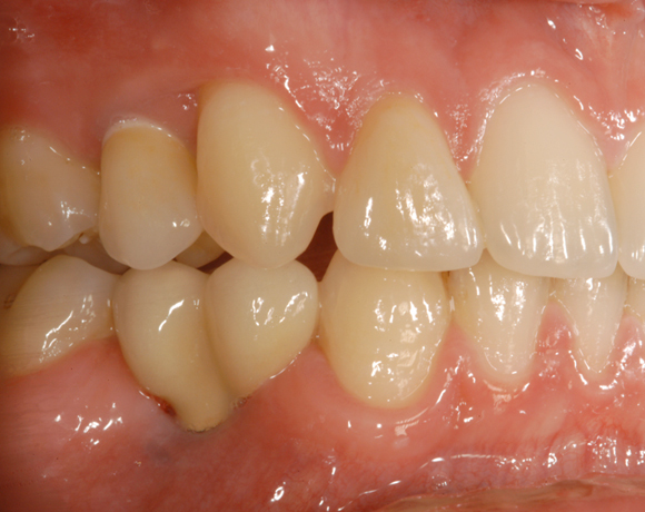
Bei dem letzten Patientenfall lagen Nichtanlagen der Zähne 12, 24, 34, 35, 44, 45 vor. Bei Zahn 12 schimmert das Implantat durch, es war sehr wenig Knochen vorhanden, aber das Ergebnis ist seit acht Jahren konstant gut. Zahn 22 lag als Zapfenzahn vor und wurde mit einem Veneer versorgt.


























