Aus Eins mach Drei
Manchmal macht Not zum Erfinder.
Ein Projekt aus dem Jahr 2002

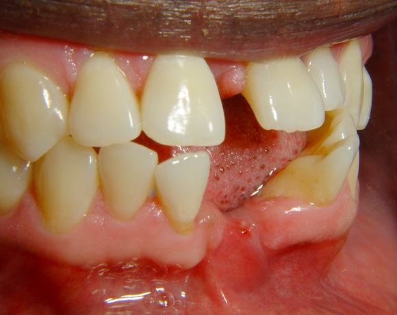
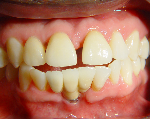
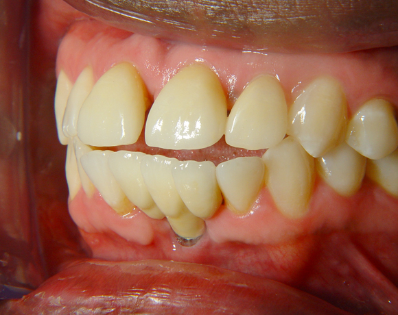
Diese Frontzahnsituation stellte den Behandler vor größere Probleme
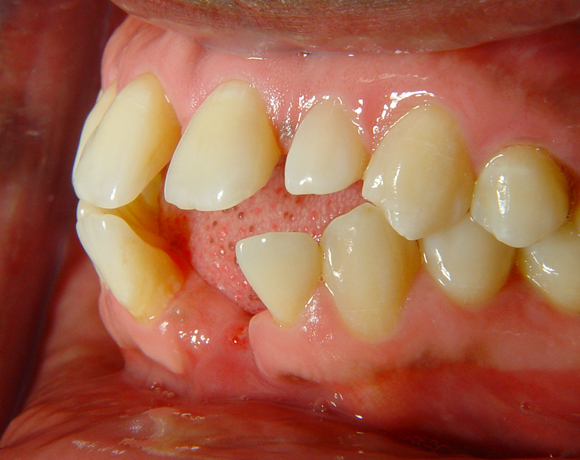
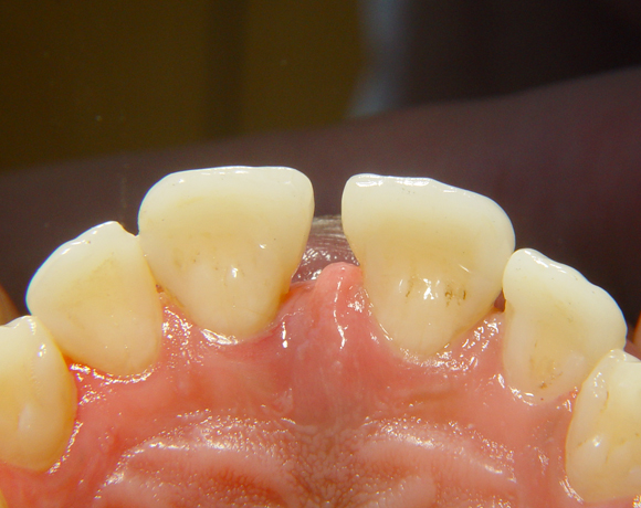
Durch Abrasion der Seitenzähne wurden die Frontzähne nach labial verdrängt und lückig. Nach Verlust des Zahnes 41 entstand eine Lücke in der drei Zähne Platz fanden. Auch im Oberkiefer wurden die lateralen Lücken mit Veneers verkleinert.









