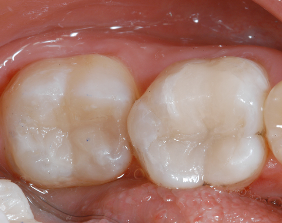
Tetric EvoCeram Seitenzahnfüllung
Tetric EvoCeram: Die ideal abgestimmte Composite-Technologie
Die bewährte Farbkodierung nach A–D-Farbschlüssel wurde auf die neuen Spritzen und Cavifils übertragen. Zudem gibt es Tetric EvoCeram in den Farben A2 Dentin, B1 und D2.
Tetric Evo Ceram ist ein lichthärtendes, universelles Nanohybrid-Composite für hochwertige Standardrestaurationen im Front- und Seitenzahnbereich.
Vorteile
Polymerisation „On Demand“ (POD): Material lange verarbeitbar, in kurzer Zeit polymerisiert
Natürliche Farbanpassung: Abgestimmte Lichtbrechungsindices von Füller, Monomer und Nano-Farbpigmenten
Klinisch bewährt: 85'000’000 Füllungen weltweit
Ein Projekt aus dem Jahr 2004

Im vorliegenden Patientenfall wird gezeigt wie eine Komposite Seitenzahnfüllung gelegt wird.












