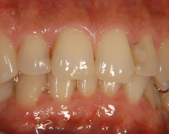
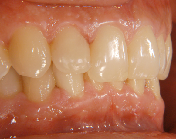
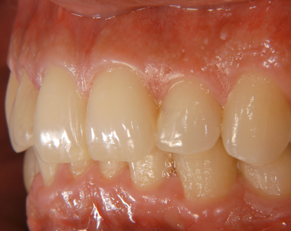
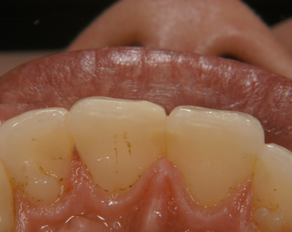
Tetric Ceram Frontzahnfüllungen
Tetric ist der Klassiker unter den Universal-Composites von IvoclarVivadent. Hohe Röntgensichtbarkeit von 400 % Al, einzigartiges Handling und 15 Jahre klinische Erfahrung. Dank verbesserter Eigenschaften ist Tetric ein modernes Composite mit nachweisbarem klinischen Erfolg.
Ein Projekt aus dem Jahr 2003

Im vorliegenden Patientenfall wird das richtige Vorgehen für das Legen einer Frontzahnfüllung gezeigt.













