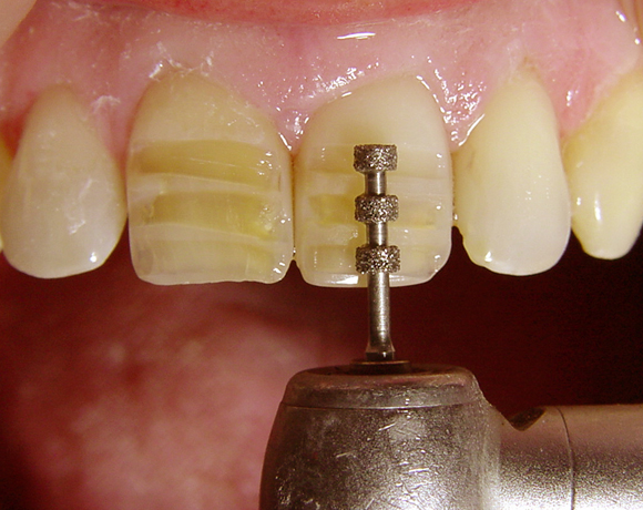
Präparation eines Empress Veneers
Bei der Präparation eines Veneers sind bestimmte Kriterien zu beachten, die zu einer langen Haltbarkeit führen.
Cervikal sollte eine Stufe mit runder Innenkannte vorhanden sein, um die inzisalen Kräfte aufzufangen. Auch die Inzisalkannte muss gefasst werden.
Ein Projekt aus dem Jahr 2001

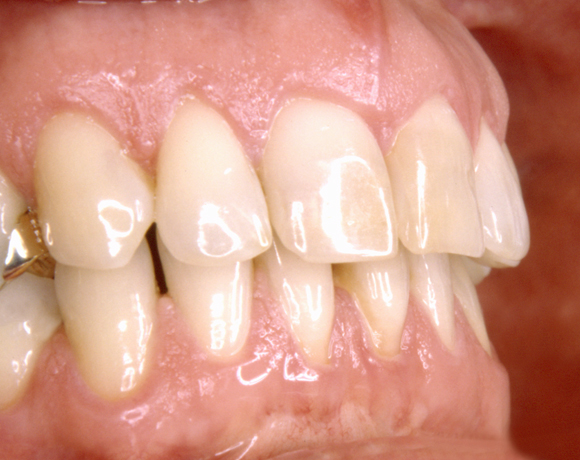
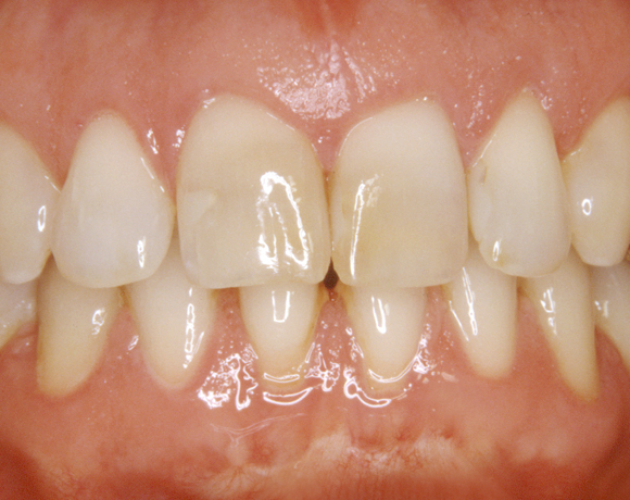
Im vorliegenden Patientenfall war die Patientin mit der Verfärbung ihrer beiden mittleren Schneidezähne nicht mehr zufrieden, sie wollte eine Veneerversorgung.
















