22 Einzelkronen mit Eris for E II
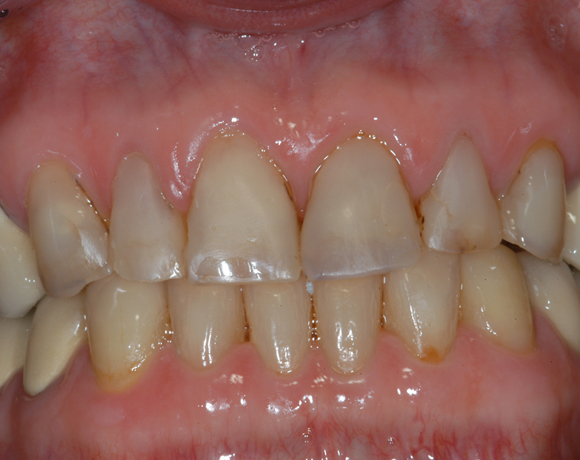
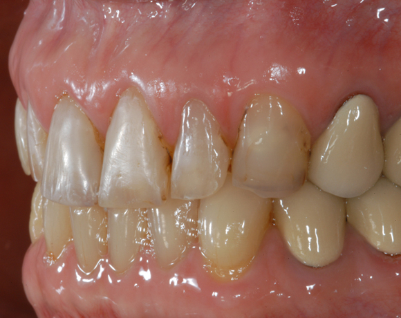
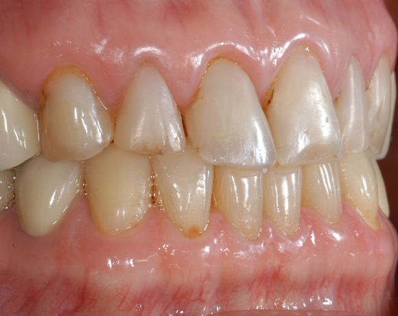
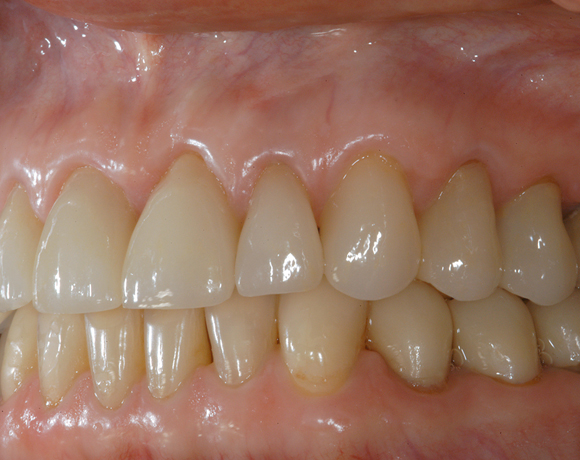
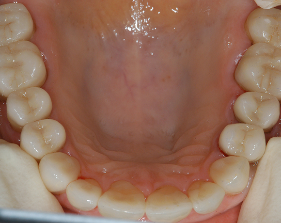
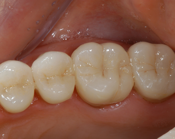
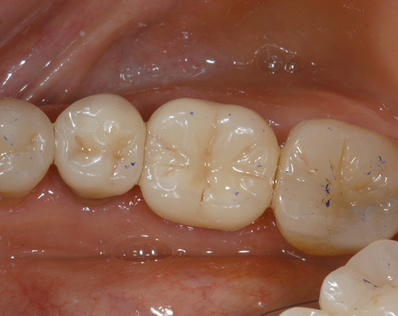
Empress II Presskeramik mit Eris Verblendkeramik bei einer Neuversorgung im Oberkiefer komplett und im Unterkiefer Vollkronen auf den Seitenzähnen.
Ein Projekt aus dem Jahr 2004

Hier wurden der ganze Oberkiefer und die Seitenzähne im Unterkiefer mit neuen Kronen aus Empress 2 und mit Eris Verblendkeramik versorgt.






































