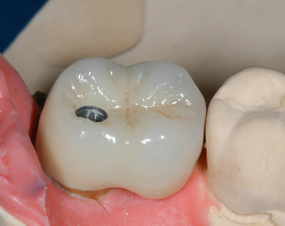
Okklusal verschraubte Suprastrukturen
Auf Titanimplantaten besteht die Möglichkeit die abschließende Versorgung (sogenannte Suprasrtukturen) zu zementieren oder zu verschrauben.
Die Vorteile des Verschraubens sind, dass man zu jeder Zeit, wenn nötig, die Kronen oder Brücken abnehmen kann. Der Nachteil liegt allerdings darin, dass es keinen speicheldichten Verschluss zwischen Abutment und Krone gibt, dadurch kann eine gewisse Geruchsbildung entstehen. Bei zementierten Kronen und Brücken hat man einen speicheldichten Verschluss, allerdings kann man die Suprastrukturen nur durch Auftrennen und damit beschädigt entfernen.
Ein Projekt aus dem Jahr 2003

Dieser Patientenfall beschäftigt sich hauptsächlich mit der Herstellung im Labor.
Bidllegende:
Bild 01 – 04: eingeschraubte angussfähige Abutments
Bild 05 – 07: Machsmodellation
Bild 08 – 10: Angegossenes Edelmetallgerüst
Bild 11 – 12: Fertige Kronen auf dem Modell
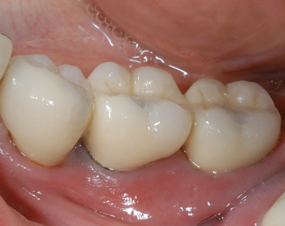
Bild 13 – 14: Eingesetzte Kronen im Mund des Patienten














