FRC Postec Plus Glasfaserstift Fall 1
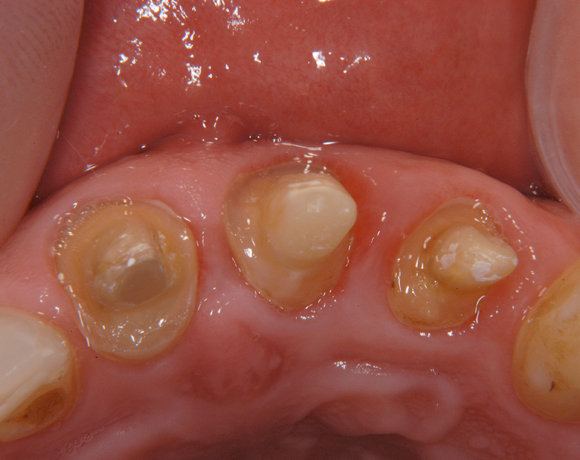
Der FRC Postec Plus ist ein röntgenopaker Glasfaserstift zur Verstärkung wurzelbehandelter Zähne. Der Stift wird unter Säureätztechnik adhäsiv im Wurzelkanal verklebt.
Ein Projekt aus dem Jahr 2003

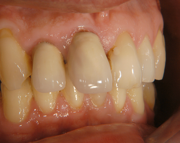
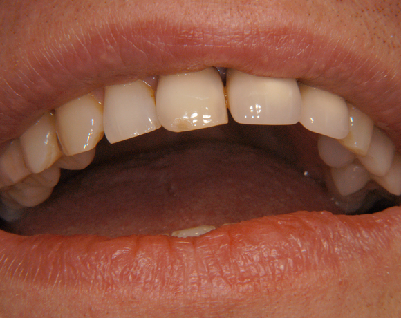
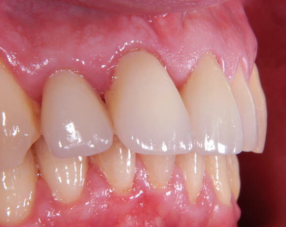
Im vorliegenden Patientenfall sollten die Frontzähne 11, 21, 22 mit Einzelkronen aus Empress I versorgt werden. Zuvor musste aber noch ein Stift an Zahn 11 gesetzt werden. Auf Grund der Transluzenz der vollkeramischen Kronen konnte kein Metallstift verwendet werden, so wurde sich für ein Glasfaserstift entschieden der adhäsiv befestigt wurde.












