e.max Press Teleskopkronen 2.Fall
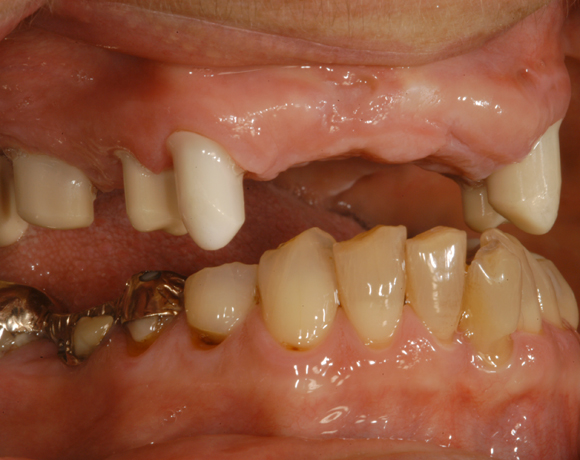
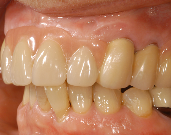
Mittlerweile haben sich Teleskoparbeiten mit weißen Innenteleskopen bewährt. Das mechanische Verhalten mit den Galvano Aussenteleskopen ist hervorragend. Es gibt eine hohe Patientenzufriedenheit.
Ein Projekt aus dem Jahr 2008

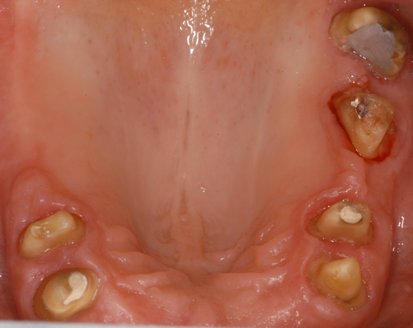
Auch dieser Patient konnte sich nicht damit anfreunden metallische Primärkronen im Mund zu haben.











