Save End Ultra
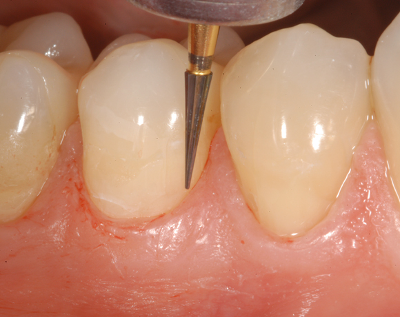
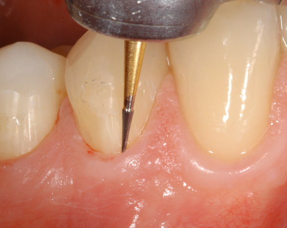
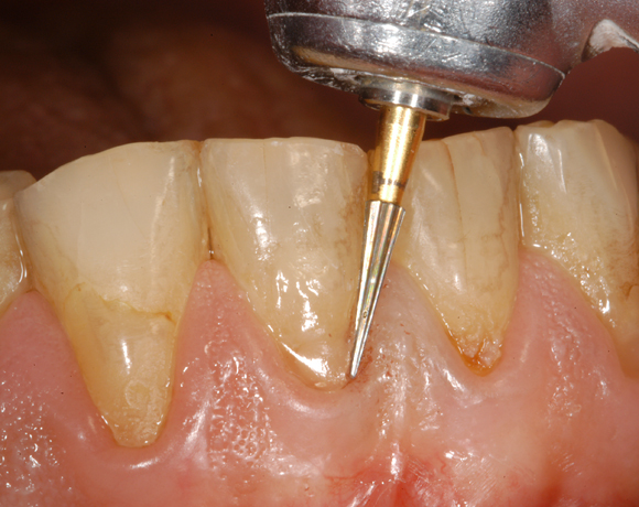
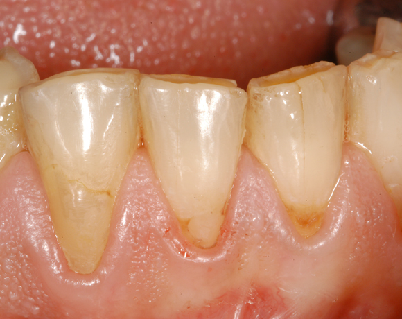
Durch seine glatte Spitze ist der Hartmetallfinierer gut geeignet um Zahnhalsfüllungen auszuarbeiten ohne die Gingiva zu verletzen.
Auch verharkt sich die glatte Spitze nicht im Dentin, sondern wird zu einer Führungshilfe und es entstehen einwandfreie Füllungsränder.
Ein Projekt aus dem Jahr 2005

Der Save End Ultra ist ein Hartmetallfinierer mit glatter Spitze, dadurch eignet er sich besonders für das Ausarbeiten von Zahnhalsfüllungen. Er ist mit zwei Finierkörnungen ausgelegt durch 16 oder 32 Klingen.








