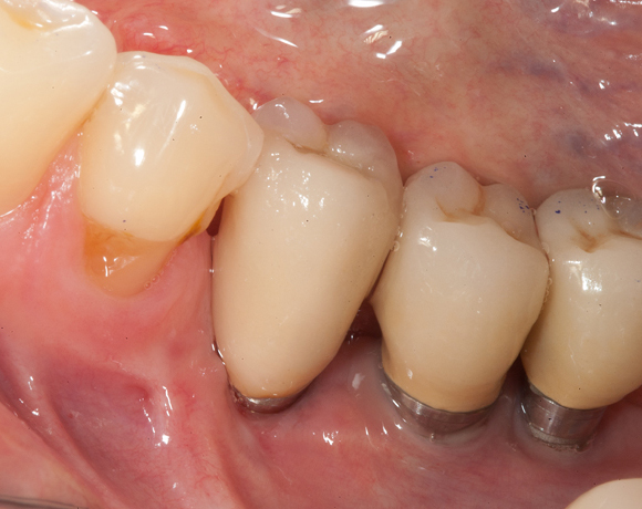
Knochenspaltung Unterkiefer 45 – 47
Die Knochenspaltung auch Bonesplitting genannt, ist eine geeignete Möglichkeit im Unterkieferseitenzahnbereich Knochen aufzubauen, um Implanate setzen zu können. Vorraussetzung ist eine ausreichende Knochenhöhe.
Ein Projekt aus dem Jahr 2013
Im vorliegenden Fall war zwar eine gut Knochenhöhe vorhanden, jedoch war der Knochen zu schmal,
um Implantate aufzunehmen. Hier bietet es sich an den Knochen zu spalten, bei gleichzeitiger Insertion der Implantate und die freien Zwischenräume mit Kunstknochen aufzufüllen. Die Augmentation wird mit einer Membran abgedeckt. Die Einheilzeit beträgt sechs Monate.








