IPS Empress Esthetik Veneers Fall 2
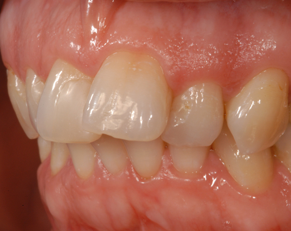
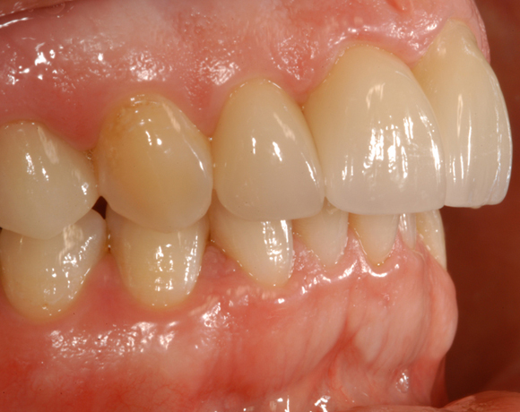
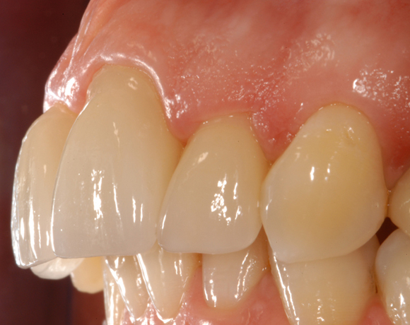
Auch bei diesem Beispiel lässt sich die hohe ästhetische Wirkung mit Ästhetikschichtmassen zeigen.
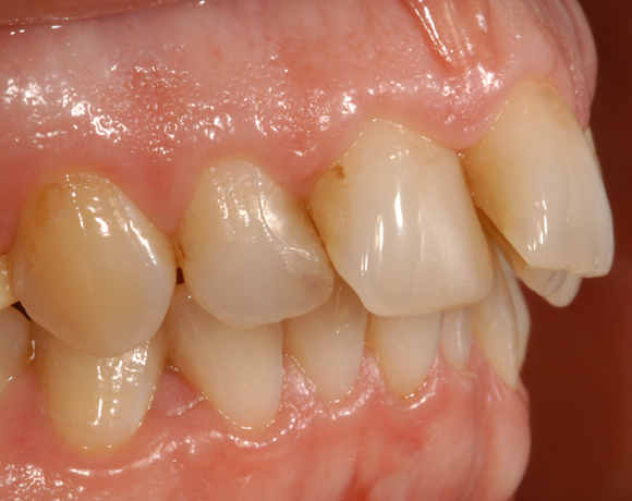
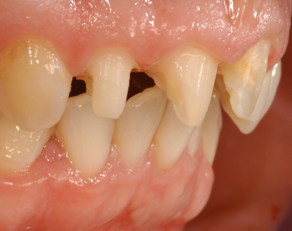
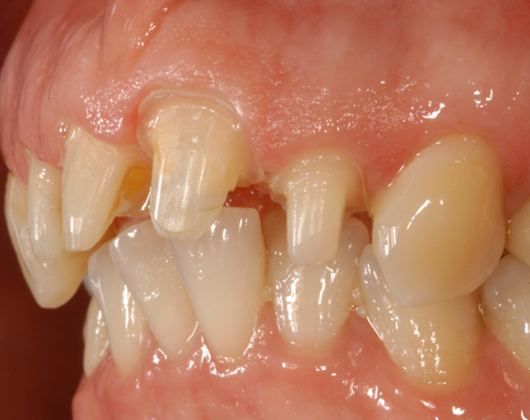
Ein Projekt aus dem Jahr 2008

An Hand des vorliegenden Patientientenfalls lässt sich zeigen wie extreme Zahnstellungen mit Kronen und Veneers verändert werden können. Verwendetes Material ist IPS Empress Esthetik geschichtet. An Zahn 21 wurde nach Wurzelbehandlung ein FR Postec Stift verwendet.














