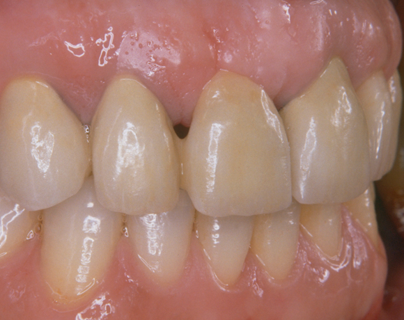
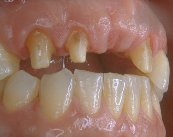
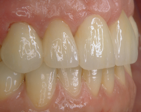
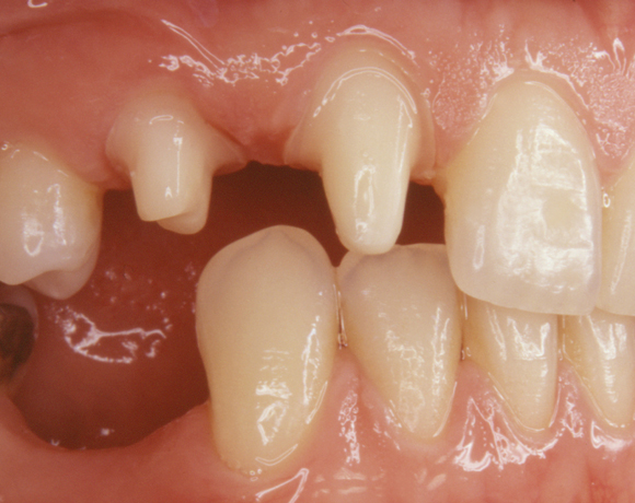
IPS Empress II Frontzahnbrücken
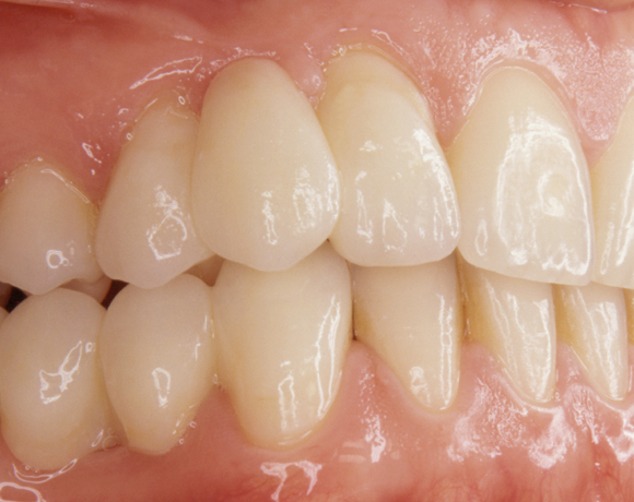
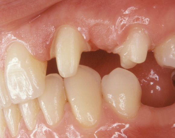
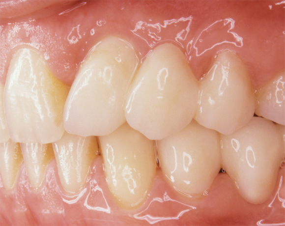
1998 hatte IPS EMPRESS 2 Markteinführung. Damit war die Möglichkeit gegeben dreigliedrige Frontzahnbrücken bis einschließlich Zahn fünf zu machen.
Projekte aus dem Jahr 1998

Mehrere Patientenfälle mit IPS Empress 2 Frontzahnbrücken












