Implantatversorgung über 8 Zähne
Dank der Implantologie ist es möglich auch große Lücken zu schließen und den Patienten damit das Tragen von Prothesen zu ersparen.
Ein Projekt aus dem Jahr 2012

Im vorliegenden Patientenfall wurden die Zähne 31 – 47, auf fünf Implantaten gestützt, überbrückt
Bildlegende:
Bild 01: Freigelegte Implantate
Bild 02: Aufgeschraubte Abdruckpfosten
Bild 03: Freigelegte Implantate zur Aufnahme der Abutments
Bild 04: Mit Drehmoment eingeschraubte Abutments, mit bereits verschlossenen Schraubkanälen
Bild 05: Mit Drehmoment eingeschraubte Abutments, mit bereits verschlossenen Schraubkanälen
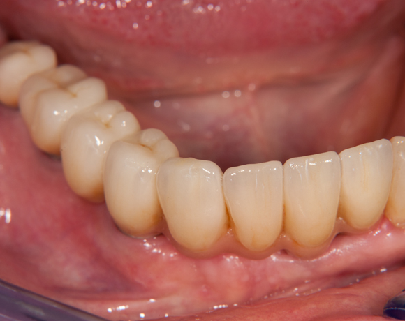
Bild 06: Eingegliederte VMK – Brücke
Bild 07: Die Möglichkeit zur Reinigung mit Interdentalbürstchen muss immer gegeben sein







