Great White Ultra
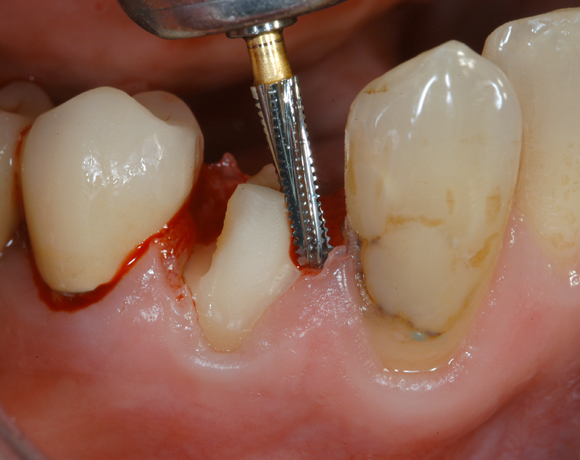
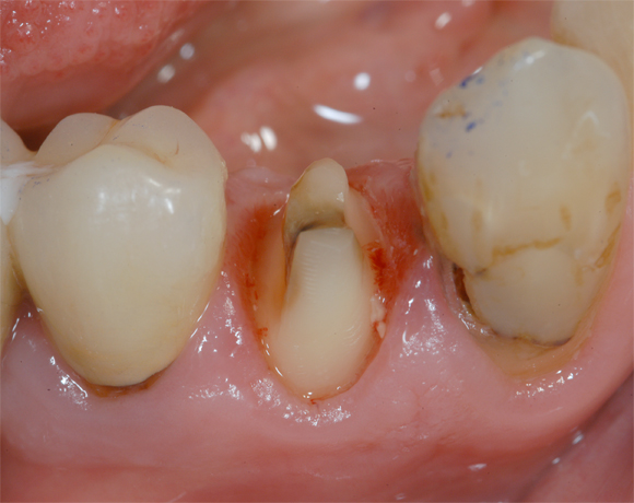
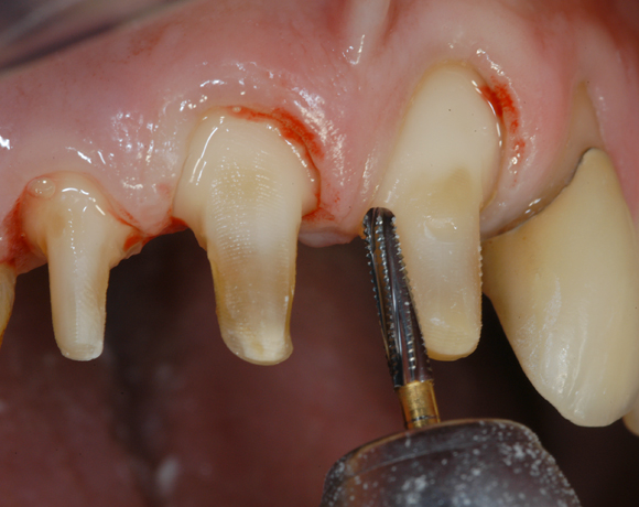
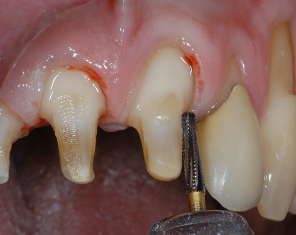
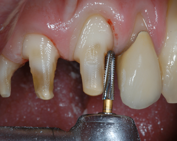
Mit dem Great White Ultra hat die Firma SS White einen Hartmetallbohrer entwickelt, der mit seiner Abtragsleistung alles andere in den Schatten stellt.
Einzig die scharfen Kannten entsprachen nicht den europäischen Präparationskriterien.
Doch die Firma SS White war bereit ihre scharfkantigen Hartmetallbohrer in Zusammenarbeit mit Dr. Leistner auf eine runde Kante umzustellen(siehe nächsten Beitrag).
Ein Projekt aus dem Jahr 2003

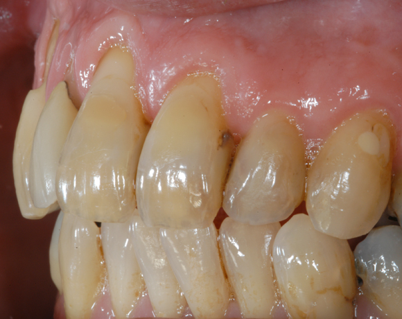
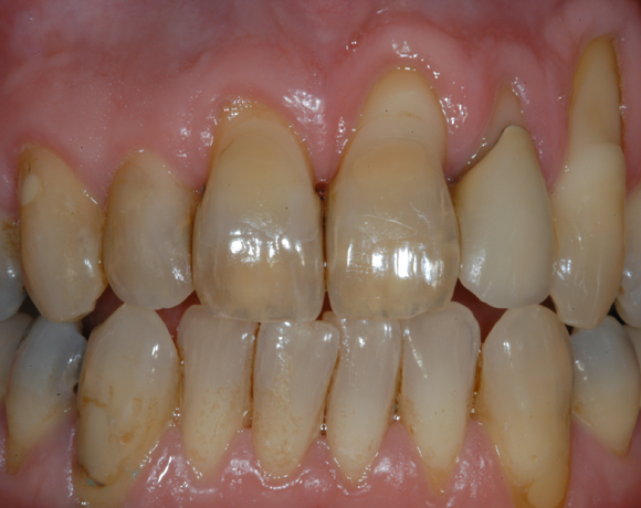
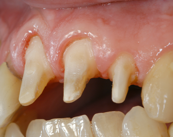
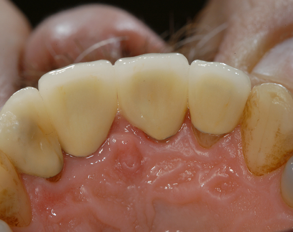
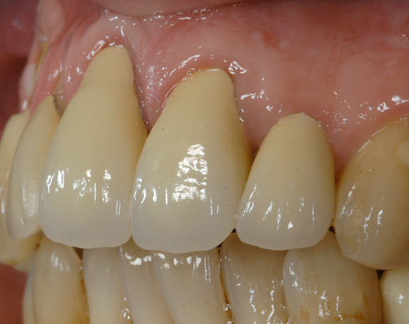
Anhand verschiedener Präparationsbeispiele und einem Patientenfall wird der Einsatz von Great White Ultra Hartmetallbohrern gezeigt

















