Frontzahnversorgung mit drei Implantaten
Die ersten auf dem Markt erhältlichen Zeramex Implanate waren die Zeramex C Implantate.
Ein Projekt aus dem Jahr 2010

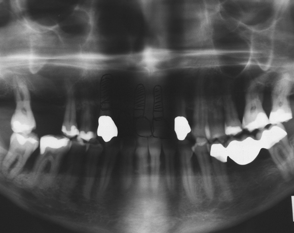
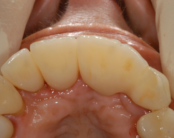
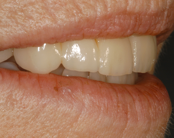
Bei dieser Patientin waren die Zähne 16, 12, 11 und 21 mit einer Modellgußprothese versorgt.
Der Zahn 13 war aus parodontalen Gründen stark gelockert und sollte extrahiert werden.
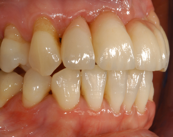
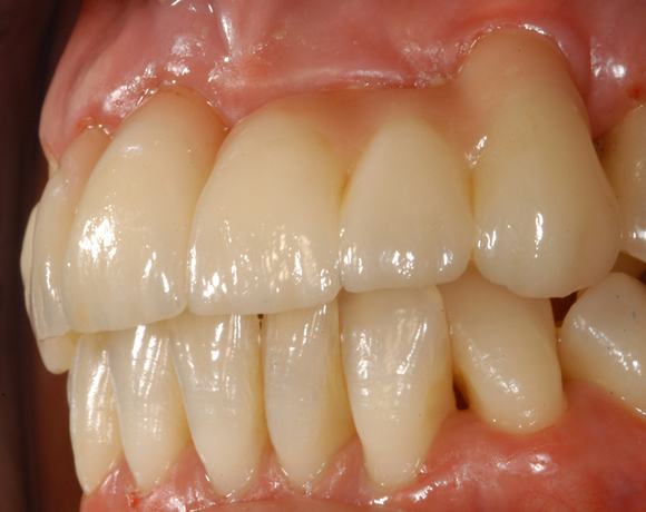
Als Ersatz wurden drei Implantate für die Zähne 13, 11, 21 gesetzt, die Lücke 15 – 17 mit einer
vollkeramischen Brücke versorgt. da die Patientin eine metallfreie Versorgung wünschte,
wurden Zeramex C Implantate gewählt, auch der Zahn 22 wurde mit einer vollkeramischen
Krone versorgt.







