Frontzahnfüllungen mit Venus Komposit
Venus® ist ein lichthärtendes Universalkomposit auf Feinstpartikel-Hybridbasis. Es eignet sich ideal für die einfache, schnelle und zuverlässige Herstellung hochästhetischer Restaurationen im Front- und Seitenzahnbereich. Füllungen mit Venus® passen sich dank der „Color Adaptive Matrix“ perfekt an die sie umgebende Zahnhartsubstanz an. Darüber hinaus überzeugt Venus® durch optimale physikalische Eigenschaften, es ist äußerst leicht zu verarbeiten und sehr abrasionsbeständig.
Ein Projekt aus dem Jahr 2003

Dieser Patientenfall zeigt die Vorgehensweise von für Frontzahnfüllungen aus dem Komposit Venus der Firma Heraeus
Bildlegende:
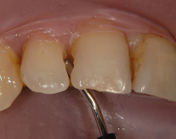
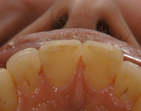
Bild 01 – 03: Ausgangssituation mit kariösen Läsionen und insuffizienten Füllungen
Bild 03: Farbnahme mit Farbschlüssel
Bild 04 – 09 : Auftragen von I-Bond und Flowmaterial
Bild 10 – 11: Lichtpolymerisation
Bild 12: Ausgehärteter Kunststoff vor der Ausarbeitung
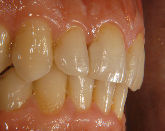
Bild 13 – 15: Fertige Füllungen















