FiberMaster parallel mit Kopf
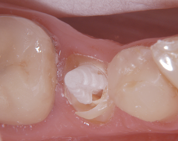
Analog der Titanstifte wurden auch die Glasfaser mit Kopf angeboten.
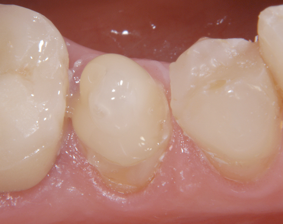
Ein Projekt aus dem Jahr 2003

Bei vollkeramischen Kronen ist es ausschlaggebend, dass kein Metallstift unter der Krone ist, sonst geht die natürliche Transluzenz verloren.






















