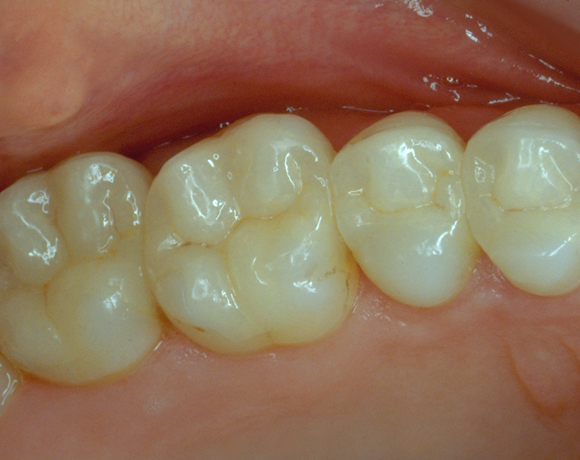
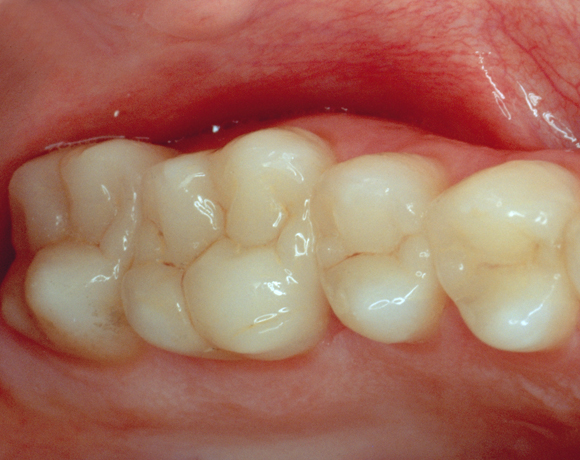
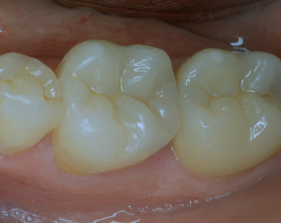
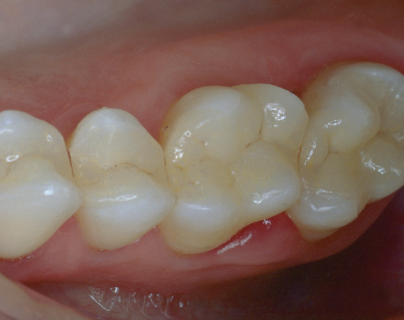
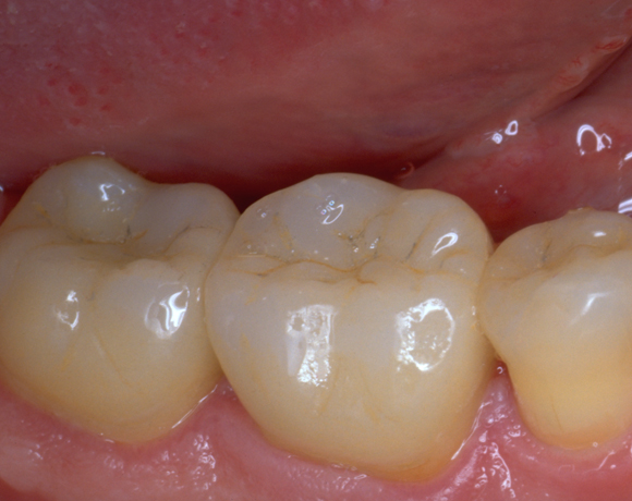
IPS Empress 1 Inlays, Teilkronen
IPS Empress hatte 1991 Markteinführung. Die Versuche anderer Firmen mit Glas- oder Presskeramik waren zuvor gescheitert, die meisten Restaurationen waren nach 12 Monaten bereits gebrochen. Erst mit IPS Empress kam eine haltbare Keramik auf den Markt.
Ein Projekt aus dem Jahr 1994

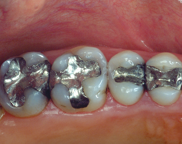
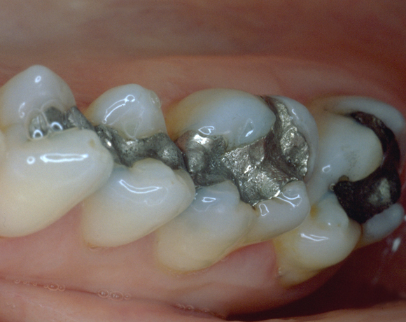
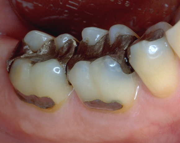
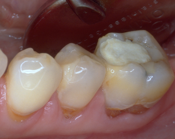
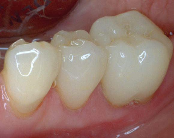
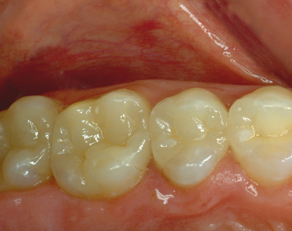
Amalgamsanierungen mit Teilkronen im Seitenzahnbereich














