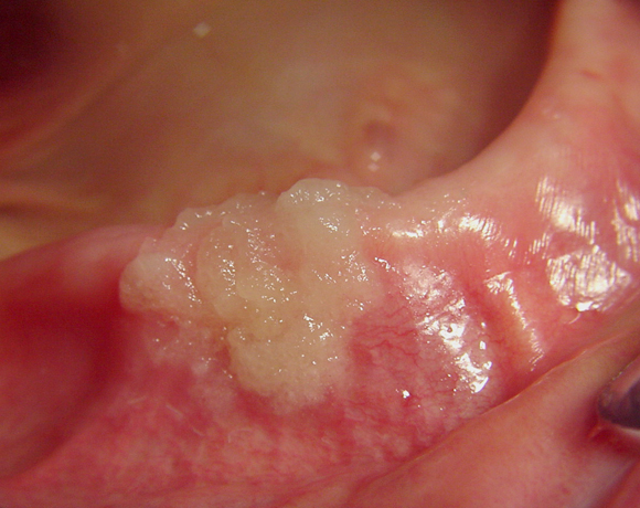
Einsatz von Solcoseryl bei schmerzhaften Druckstellen
Solcoseryl Salbe eignet sich durch seine anäthesierende Wirkung besonders auch bei schmerzhaften Druckstellen.
Ein Projekt aus dem Jahr 2000

Die Salbe muss dünn mit einem Wattestäbchen aufgetragen werden.
Mit einem nassen Wattestäbchen wird die Oberfläche der Salbe zum gelieren gebracht, so dass die klebende Wirkung aufgehoben wird, die Salbe an der aufgetragenen Stelle verbleibt und sich nicht im ganzen Mund verteilt.
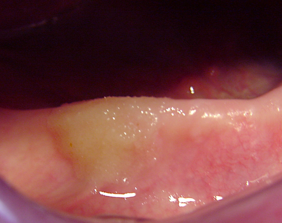
Nach einer Woche ist die entzündete Fläche vollständig verheilt.




