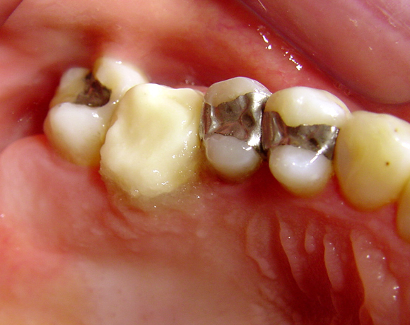
Einsatz von Solcoseryl bei Schleimhautexcisionen

Solcoseryl Salbe eignet sich auch zur Schmerzlinderung nach Schleimhautexcisionen.

Ein Projekt aus dem Jahr 2000

alle Projekt mit Solcosseryl →

Die Salbe muss dünn mit einem Wattestäbchen aufgetragen werden.

Mit einem nassen Wattestäbchen wird die Oberfläche der Salbe zum gelieren gebracht, so dass die klebende Wirkung aufgehoben wird, die Salbe an der aufgetragenen Stelle verbleibt und sich nicht im ganzen Mund verteilt.

Nach einer Woche ist das Zahnfleisch fast vollständig verheilt.