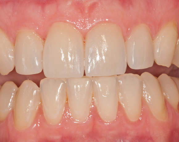
e.max Veneers Fall 2
Veneers lassen sich auf allen Zähnen einsetzen. Veneertechnik bedeutet: geringe Präparationstiefe oder minimalinvasive Präparationstechnik. Damit lassen sich Bisshebungen, Eckzahnführungen, Farb- ,Form- und Zahnstellungskorrekturen durchführen.
Ein Projekt aus dem Jahr 2013

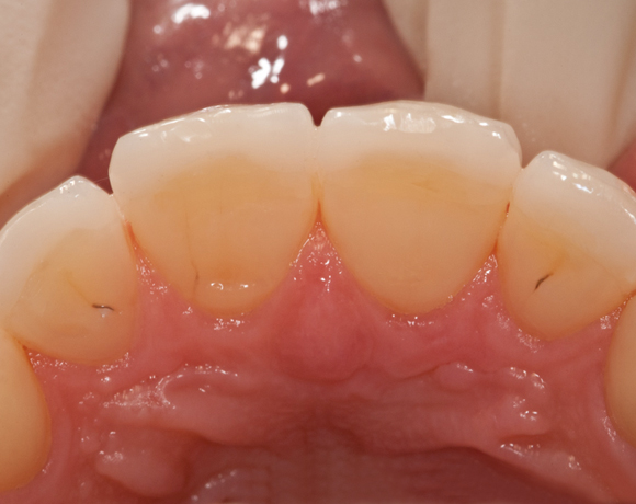
Bei diesem Patientenfall war die Patientin mit den Auswaschungen und Putzdefekten an ihren Frontzähnen unzufrieden und wollte wieder schöne Zähne haben.












