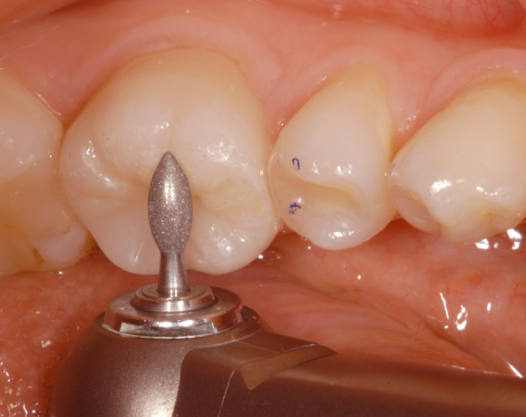
Diamantknospe lang oder kurz
In manchen Situationen ist es besser einen langen oder einen kurzen Schaft zu haben, um mit dem schneidenden Werkzeug an die richtige Stelle zu gelangen.
Ein Projekt aus dem Jahr 2007

Je nach Arbeitslänge ist es leichter die zu beschleifende Stelle zu erreichen.



















