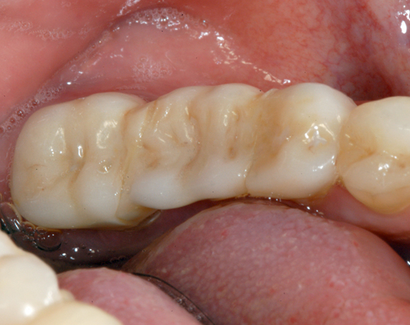
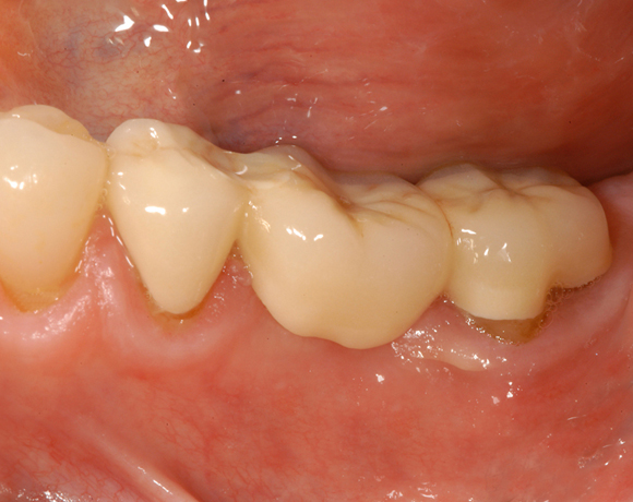
e.max Ceram eine verblendete Seitenzahnbrücke
Für das ganze e.max System gibt es eine Schichtkeramik das e.max Ceram. Damit kann man auf e.max Press, aus e.max Zirpress und direkt auf Zirkon schichten
Ein Projekt aus dem Jahr 2005

Im vorliegenden Patientenfall war der Versuch missglückt die Zähne 35 – 37 mit einer Brücke aus Empress II zu versorgen. Aus Platzgründen war es auch nicht möglich eine E-max Zirpress Brücke herzustellen, so wurde entschieden eine möglichst massive Brücke aus Zirkon herzustellen, die nur teilweise verblendet wurde, der Rest bemalt.







