IPS Empress Veneer Fall 2
IPS Empress eignete sich schon Anfang neunziger Jahre dazu Veneers herzustellen. Die Veneers liessen sich allerdings nur bemalen, geschichtete Keramik konnte nicht aufgebrannt werden.
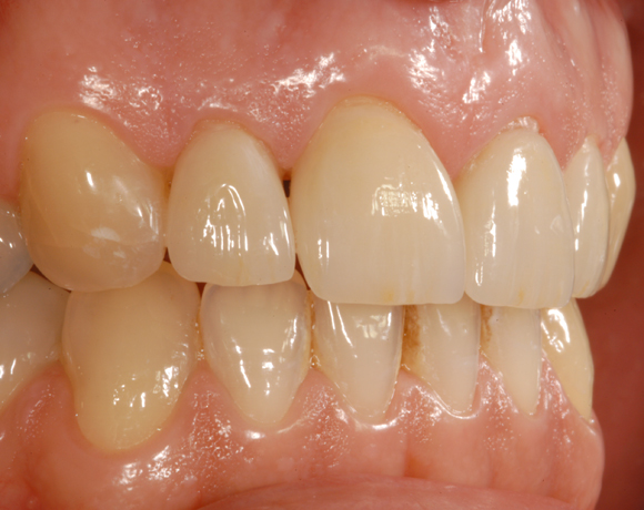
Ein Projekt aus dem Jahr 2009

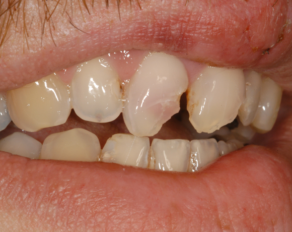
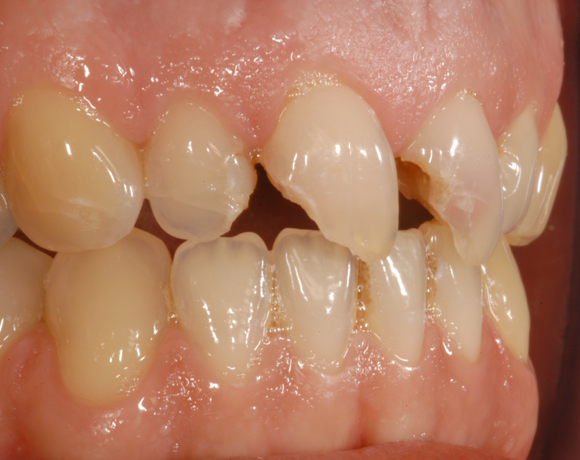
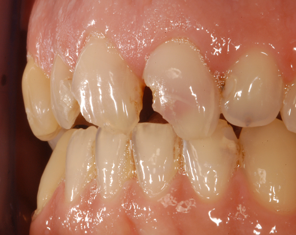
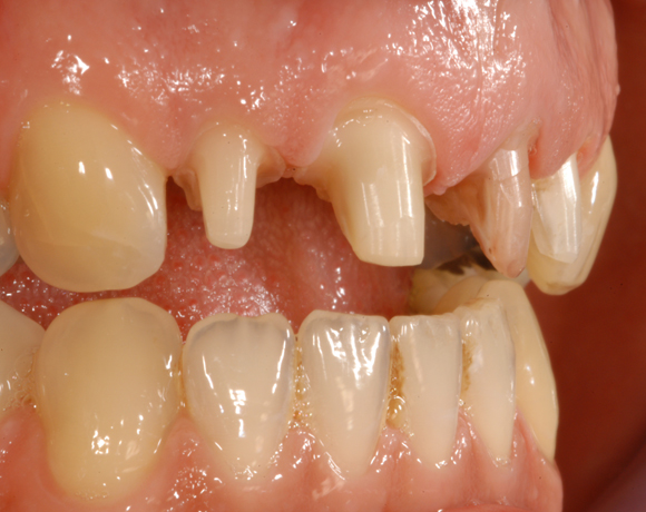
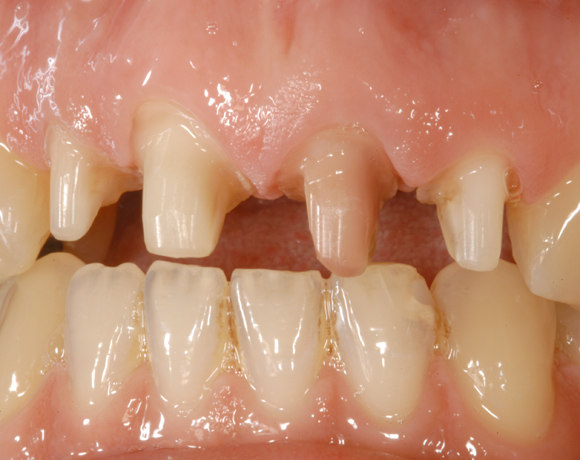
Bei dem vorliegenden Patientenfall wurden durch einen Sturz vom Fahrrad die Oberkieferfrontzähne sehr in Mitleidenschaft gezogen, eine Neuversorgung der mittleren Schneidezähne wurde notwendig.
Der Zahn 21 musste endodontisch versorgt werden














